症例写真(No.176095)

当院の症例写真は、画像処理により形や大きさをかえるような処理は一切おこなっておりません。

高川裕也 医師

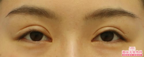
No.176095【二重・二重整形】二重整形

施術前

術前
→

施術後6ヶ月後

6ヵ月
すべての画像を見る

施術した院

部位

施術

施術回数

数量

性別

施術担当者からのコメント

眼瞼下垂 タルミ取り併用全切開
Roof切除 目頭切開プレミアム

○o。..:* ☆.。.:*・゜ ゜+*:;;:* *:;;:*+゜ *☆*:;;;:*☆* ☆○o。 。o○☆ .:*゜..:。:. .:*゜:.
全切開法二重術の詳細

皮膚を切開したのち、皮下にある眼輪筋や瞼板、眼窩隔膜などの処理を丁寧に行うことで切開したラインに強固な二重を作ります。
必要に応じて眼窩脂肪も除去します。
埋没法ではラインがすぐに取れてしまう方や、二重が取れる心配をしたくない方にはこの方法がおすすめです。
○o。..:* ☆.。.:*・゜ ゜+*:;;:* *:;;:*+゜ *☆*:;;;:*☆* ☆○o。 。o○☆ .:*゜..:。:. .:*゜:.


名古屋院Instagram
↓たくさんの症例写真を掲載しております↓
https://www.instagram.com/sbc_nagoya/


Dr高川&名古屋院ブログ
↓予約情報発信しております↓
https://ameblo.jp/dr-takagawa



×

当院におけるワクチン接種後の治療間隔(ガイドライン)

美容皮膚科、美容外科小手術

前後3日(手術日は含まず)、自覚する副反応がなければ可
安心麻酔を使用するものは接種後1週間は空ける

美容外科中、大手術

前後1週間
副反応が残っている場合は延期
接種部位と手術部位が同じ場合は2週間は空ける