症例写真(No.182081)

当院の症例写真は、画像処理により形や大きさをかえるような処理は一切おこなっておりません。

山本尚洋 医師

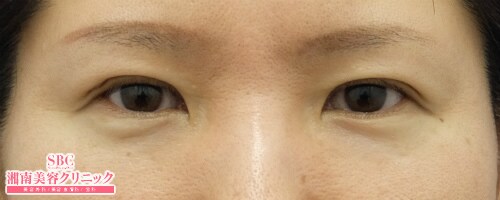
No.182081【二重・二重整形】【埋没法二重術】【術後1ヶ月】【正面】

施術前

術前
→

施術後1ヶ月後

術後1ヶ月
すべての画像を見る

施術した院

部位

施術

施術回数

数量

性別

施術担当者からのコメント

【術前】【術後1週】【術後1ヶ月】における
【正面】【右斜】【左斜】の3方向をアップしています。
術後1週で7〜8割、術後1ヶ月で10割完成のイメージです。

ーーーーーーーーーーー
湘南美容クリニック 名古屋院
美容外科医師・医学博士
山本尚洋
ーーーーーーーーーーー



×

当院におけるワクチン接種後の治療間隔(ガイドライン)

美容皮膚科、美容外科小手術

前後3日(手術日は含まず)、自覚する副反応がなければ可
安心麻酔を使用するものは接種後1週間は空ける

美容外科中、大手術

前後1週間
副反応が残っている場合は延期
接種部位と手術部位が同じ場合は2週間は空ける

×

お急ぎの方はお電話ください

0120-489-100

受付時間 / 10:00~23:00