症例写真(No.187008)

当院の症例写真は、画像処理により形や大きさをかえるような処理は一切おこなっておりません。

梶山典彦 医師

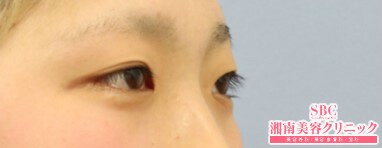
No.187008【二重・二重整形】全切開二重術+目頭切開プレミアム 【術後1ヶ月】

施術前

術前のお写真です
→

施術後1ヶ月後

かわいく仕上がりました
すべての画像を見る

施術した院

部位

施術

施術回数

数量

性別

施術担当者からのコメント

ご覧いただきありがとうございます。
この方は10代の女性です。

「自然さ」ではなく、どちらかといえば「整形顔」のような、とにかく幅広、平行型のはっきりとした二重にしたいというご希望でした。
そのあたりのご希望と手術で実現できることをしっかりと擦り合わせて手術を行いました。

全切開はまだ完成度が60%くらいです。幅広なので時間がかかりますがもう少し幅は狭くなって落ち着いていきます。

写真は術前→術後1ヶ月です。

目頭切開プレミアム
目頭をほんの数ミリ切開して、もうこヒダと呼ばれるヒダをとることによって、目をすっきり大きくする手術です。
目の横幅も大きくなります。また、傷跡が目立ちにくく、綺麗に仕上がるのが特徴です。

ぜひお気軽にカウンセリングにお越し下さい。



×

当院におけるワクチン接種後の治療間隔(ガイドライン)

美容皮膚科、美容外科小手術

前後3日(手術日は含まず)、自覚する副反応がなければ可
安心麻酔を使用するものは接種後1週間は空ける

美容外科中、大手術

前後1週間
副反応が残っている場合は延期
接種部位と手術部位が同じ場合は2週間は空ける