お急ぎの方はお電話ください
WEB予約
メンズ専用
LINE登録
オンラインストア
SBC公式アプリ
SBC 採用サイト
医療機関検索サイトアイメッド
定額制セルフエステ
当院の症例写真は、画像処理により形や大きさをかえるような処理は一切おこなっておりません。
梶山典彦 医師
施術前
施術後1ヶ月後
施術した院
部位
施術
施術回数
数量
性別
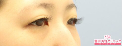
こちらは20代女性のお客様です。つけまつげを普段されており、二重をご希望でご来院されました。写真は術前→術後1ヶ月腫れづらいばれづらい二重術はベーシックな留め方の二重術です。糸と針の工夫で通常の方法よりも腫れにくくなっています。施術も15分程度と、メイク感覚で施術が受けられます。二重は切る方法も切らない方法も得意としております。他院で断られてしまった方もぜひお気軽にご相談ください。
前後3日(手術日は含まず)、自覚する副反応がなければ可安心麻酔を使用するものは接種後1週間は空ける
前後1週間副反応が残っている場合は延期接種部位と手術部位が同じ場合は2週間は空ける
施術担当者からのコメント
こちらは20代女性のお客様です。
つけまつげを普段されており、二重をご希望でご来院されました。
写真は術前→術後1ヶ月
腫れづらいばれづらい二重術はベーシックな留め方の二重術です。
糸と針の工夫で通常の方法よりも腫れにくくなっています。
施術も15分程度と、メイク感覚で施術が受けられます。
二重は切る方法も切らない方法も得意としております。
他院で断られてしまった方もぜひお気軽にご相談ください。