お急ぎの方はお電話ください
WEB予約
メンズ専用
LINE登録
オンラインストア
SBC e Gift
SBC公式アプリ
SBC 採用サイト
医療機関検索サイトアイメッド
定額制セルフエステ
当院の症例写真は、画像処理により形や大きさをかえるような処理は一切おこなっておりません。
梶山典彦 医師
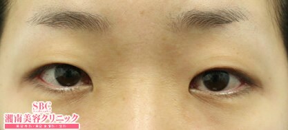
施術前
施術後1ヶ月後
施術した院
部位
施術
施術回数
数量
性別
ご覧いただきありがとうございます。こちらは30代女性の方です。去年からインスタを見てくださり、この度ご来院いただきました。ありがとうございます!!元々一重の方で、自然さと幅広の間ぐらいで、多少の変化はほしいといったご希望でした。また、もうこヒダの張り出しも気になるということで目頭切開プレミアムを行っています。写真は術前→術後1ヶ月です。ヒダの状態などを確認して、お客様に合った最適な方法をご提案いたします。お気軽にカウンセリングにお越しください。川崎院でお待ちしております!!
前後3日(手術日は含まず)、自覚する副反応がなければ可安心麻酔を使用するものは接種後1週間は空ける
前後1週間副反応が残っている場合は延期接種部位と手術部位が同じ場合は2週間は空ける
施術担当者からのコメント
ご覧いただきありがとうございます。
こちらは30代女性の方です。
去年からインスタを見てくださり、この度ご来院いただきました。
ありがとうございます!!
元々一重の方で、自然さと幅広の間ぐらいで、多少の変化はほしいといったご希望でした。また、もうこヒダの張り出しも気になるということで目頭切開プレミアムを行っています。
写真は術前→術後1ヶ月です。
ヒダの状態などを確認して、お客様に合った最適な方法をご提案いたします。
お気軽にカウンセリングにお越しください。
川崎院でお待ちしております!!