症例写真(No.189161)

当院の症例写真は、画像処理により形や大きさをかえるような処理は一切おこなっておりません。

梶山典彦 医師

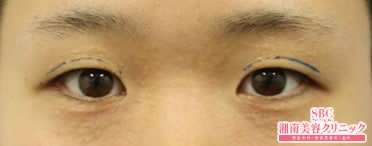
No.189161【二重・二重整形】クイックコスメティーク・ダブル【術直後】

施術前

術前のお写真です
→

施術後術直後

術直後です
すべての画像を見る

施術した院

部位

施術

施術回数

数量

性別

施術担当者からのコメント

ご覧いただきありがとうございます。

こちらは20代女性の方です。

元々一重で、つけまつ毛で二重にされており、そのラインで二重をご希望でした。
平行型で仕上がってます。

写真は術前→術直後です。

クイックコスメティークダブル法はばれにくさ、腫れにくさを高次元で両立した手術です。直後からメイクができるため、内出血もカバーしていただくことができます。
また、当日からメイクOKと、忙しい方でも受けやすい施術です。
二重にしようとお考えの方、よろしければカウンセリングにお越しください。
川崎院でぜひお待ちしております。



×

当院におけるワクチン接種後の治療間隔(ガイドライン)

美容皮膚科、美容外科小手術

前後3日(手術日は含まず)、自覚する副反応がなければ可
安心麻酔を使用するものは接種後1週間は空ける

美容外科中、大手術

前後1週間
副反応が残っている場合は延期
接種部位と手術部位が同じ場合は2週間は空ける