症例写真(No.190108)

当院の症例写真は、画像処理により形や大きさをかえるような処理は一切おこなっておりません。

本間重行 医師

No.190108【二重・二重整形】≪クイックコスメティーク法≫≪術直後≫☆目元はバランスが大事☆パッチリ二重に劇的変化☆カッコイイ目元に!

施術前

術前のお写真です。
→

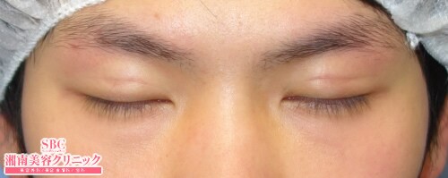
施術後術直後

まぶたを閉じても自然です。
すべての画像を見る

施術した院

部位

施術

施術回数

数量

性別

施術担当者からのコメント

当院の埋没法には様々な種類がありますが、
今回ご紹介するのはSBC内の数あるメニューの中でも最も腫れない埋没法、
【クイックコスメティーク】です。

術直後。
【二重8mm】
男性も二重手術受ける方沢山いらっしゃいます!

【クイックコスメティーク】は術直後からお化粧可能なため、さらにバレにくいです。
くい込みも無く、目を閉じてもばれにくいです。
糸の結び目がまぶたの裏側(結膜側結紮)のため、埋没法後のまぶたのぼこつきはないので、眼を閉じたときも自然です。

美しい二重をご希望の方は、ぜひ池袋西口院院長の本間までご相談下さい。

★★instagramやってます★★
instaの方ではより詳しく&沢山の症例写真を載せています!
是非チェックしてみて下さい♪
@shigeyuki.honma
≪↓↓下の「instagram」アイコンから飛べます↓↓≫☆followme☆



×

当院におけるワクチン接種後の治療間隔(ガイドライン)

美容皮膚科、美容外科小手術

前後3日(手術日は含まず)、自覚する副反応がなければ可
安心麻酔を使用するものは接種後1週間は空ける

美容外科中、大手術

前後1週間
副反応が残っている場合は延期
接種部位と手術部位が同じ場合は2週間は空ける

×

お急ぎの方はお電話ください

0120-489-100

受付時間 / 10:00~23:00