症例写真(No.195313)

当院の症例写真は、画像処理により形や大きさをかえるような処理は一切おこなっておりません。

山本高士 医師

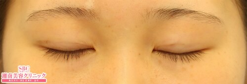
No.195313【二重・二重整形】1週間後 腫れづらいばれづらい二重術 閉眼

施術前

術前は一重
→

施術後1週間後

傷は目立ちません。
すべての画像を見る

施術した院

部位

施術

施術回数

数量

性別

施術担当者からのコメント

ご紹介するお客様は10代後半女性の方です。
手術前と1週間後の比較写真になります。

一重でメザイクの煩わしさを気にされご来院されたお客様。
ご希望は、可愛らしい末広二重でした。
明らかな左右差・腫れ・内出血などなく、非常に綺麗な二重に仕上がっています。
手術直後のお写真とお比較ください

手術はカウンセリングとデザインでほぼ結果が決まりますので、
イメージの共有がとても大事です。
時には埋没法が困難な方にははっきりと不適応であることもお伝えさせていただいてます。

一緒に理想的な二重を作りましょう!



×

当院におけるワクチン接種後の治療間隔(ガイドライン)

美容皮膚科、美容外科小手術

前後3日(手術日は含まず)、自覚する副反応がなければ可
安心麻酔を使用するものは接種後1週間は空ける

美容外科中、大手術

前後1週間
副反応が残っている場合は延期
接種部位と手術部位が同じ場合は2週間は空ける