症例写真(No.197072)

当院の症例写真は、画像処理により形や大きさをかえるような処理は一切おこなっておりません。

大野津介 医師

No.197072【二重・二重整形】脳神経外科専門医Dr.大野執刀【フォーエバー二重術】糸をクロスさせることで、埋没法なのに持続しやすいラインを作れます!【術直後】

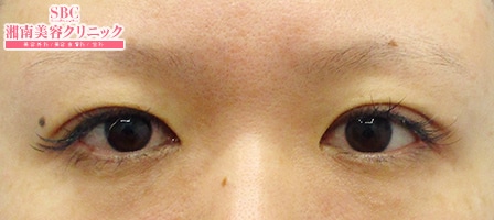
施術前

一重まぶたを気にされていました。
→

施術後術直後

キレイなラインが出来上がり、可愛らしい目元になりましたね!
すべての画像を見る

施術した院

部位

施術

施術回数

数量

性別

施術担当者からのコメント

一重まぶたを気にされている方の術直後です。
直後ですが腫れはほとんどありません。
キレイな二重ラインで可愛らしい目元になりましたね!

フォーエバー二重術は腫れが目立たなく取れにくい、
さらに2日後からメイク可能な埋没法です。

・過去に埋没法を受けたけど戻ってしまった方
・アイテープかぶれのある方
・広いラインをお求めの方
・皮膚のたるみが強い方
・まぶたが腫れぼったい方
・二重の持続を重視したい方
こんな方にはフォーエバー二重術をオススメします!
モニター様も募集中です!!

デザインから施術まで、二重術にはこだわりの多い大野医師が
あなたの理想の二重に近づけます!
是非ご相談ください!

【instagram毎日更新中】
@onoshinsuke_sbc
インスタグラムではリアルタイムで沢山の症例写真や
施術動画をあげています!
≪下の「instagram」アイコンからも飛べます≫



×

当院におけるワクチン接種後の治療間隔(ガイドライン)

美容皮膚科、美容外科小手術

前後3日(手術日は含まず)、自覚する副反応がなければ可
安心麻酔を使用するものは接種後1週間は空ける

美容外科中、大手術

前後1週間
副反応が残っている場合は延期
接種部位と手術部位が同じ場合は2週間は空ける

×

お急ぎの方はお電話ください

0120-489-100

受付時間 / 10:00~23:00