症例写真(No.201262)

当院の症例写真は、画像処理により形や大きさをかえるような処理は一切おこなっておりません。

高川裕也 医師

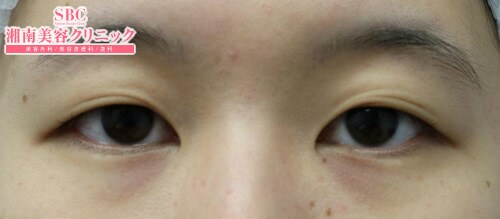
No.201262【二重・二重整形】二重整形

施術前

術前
→

施術後術直後

直後
すべての画像を見る

施術した院

部位

施術

施術回数

数量

性別

施術担当者からのコメント

クイックコスメティークダブル

○o。..:* ☆.。.:*・゜ ゜+*:;;:* *:;;:*+゜ *☆*:;;;:*☆* ☆○o。 。o○☆ .:*゜..:。:. .:*゜:.
クイックコスメティーク法とは

術直後からほとんど腫れづらいキリッと魅せる瞳になりませんか?
クイックコスメティーク法は、瞼表面に針を通す事が無いので表面に傷ができず、術直後からお化粧可能な究極に腫れづらい高品質の二重術です。
○o。..:* ☆.。.:*・゜ ゜+*:;;:* *:;;:*+゜ *☆*:;;;:*☆* ☆○o。 。o○☆ .:*゜..:。:. .:*゜:.

名古屋院Instagram
↓たくさんの症例写真を掲載しております↓
https://www.instagram.com/sbc_nagoya/

Dr高川&名古屋院ブログ
↓予約情報発信しております↓
https://ameblo.jp/dr-takagawa



×

当院におけるワクチン接種後の治療間隔(ガイドライン)

美容皮膚科、美容外科小手術

前後3日(手術日は含まず)、自覚する副反応がなければ可
安心麻酔を使用するものは接種後1週間は空ける

美容外科中、大手術

前後1週間
副反応が残っている場合は延期
接種部位と手術部位が同じ場合は2週間は空ける