症例写真(No.238280)

当院の症例写真は、画像処理により形や大きさをかえるような処理は一切おこなっておりません。

大野津介 医師

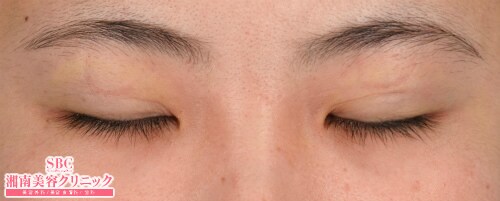
No.238280【二重・二重整形】脳神経外科専門医Dr.大野執刀 【クイックコスメティーク・ダブル】術直後からメイクが可能な高品質な二重術です!!【施術直後】

施術前

施術前
→

施術後術直後

施術直後です!
すべての画像を見る

施術した院

部位

施術

施術回数

数量

性別

施術担当者からのコメント

長い休みが取りにくい方
明日から学校or仕事だからダウンタイムが気になる!!
そんな方にオススメなのがクイックコスメティーク・ダブルです!
施術直後からメイク可能なのも魅力的です♪

クイックコスメティーク法、クイックコスメティーク・ダブル法は、表に全く傷が付かず、結び目が気にならない、当日からお化粧が可能、また腫れも最小限、持ちもいい という特徴を持つ、医学的には経結膜的埋没法重瞼術(二重術)と言う画期的な埋没法です。
瞼表面に針を通す事が無く傷が付かない→ 腫れが極めて少ない 傷が気にならない 当日からお化粧が可能。
埋没糸・結紮点が裏側(結膜側)に全く露出していない → 安全 結び目が気ならない。
挙筋法による埋没法 → 瞼板法に比べライン持続率もいい。
クイックコスメティーク・ダブル法は、更に強度を2倍にする事で、持ちも最高レベルになっています。
周りの人に極力ばれたくない方、ダウンタイムがなかなか取れない方、埋没法が初めてで不安な方、また、以前埋没法を受けられて、その時腫れてもうトライしたくない、と言う方にも安心して受けて頂く事が出来ます。
スタッフ・家族にも勧められる最高品質の埋没法を、是非御検討下さい。
こんな方にはクイックコスメティーク・ダブルをオススメします!
モニター様も募集中です!!

デザインから施術まで、二重術にはこだわりの多い大野医師が
あなたの理想の二重に近づけます!
是非ご相談ください!

【instagram毎日更新中】
@onoshinsuke_sbc
インスタグラムではリアルタイムで沢山の症例写真や
施術動画をあげています!
≪下の「instagram」アイコンからも飛べます≫



×

当院におけるワクチン接種後の治療間隔(ガイドライン)

美容皮膚科、美容外科小手術

前後3日(手術日は含まず)、自覚する副反応がなければ可
安心麻酔を使用するものは接種後1週間は空ける

美容外科中、大手術

前後1週間
副反応が残っている場合は延期
接種部位と手術部位が同じ場合は2週間は空ける

×

お急ぎの方はお電話ください

0120-489-100

受付時間 / 10:00~23:00