美容外科・美容皮膚科・審美歯科なら湘南美容クリニック
電話予約・電話問い合わせ 10:00~22:45対応 番号を通知してお電話ください 0120-489-100
Instagram
LINE
YouTube
公式アプリ
美容皮膚科
あなたに最適な美容メンテナンスをサポートします!
二重整形
これを見たらあなたも思わず二重にしたくなる♡
医療ダイエット
医療ダイエットをしたらマイナス何センチ?リアルな結果を発信中!
若返り
年齢別・お悩み別で「今やるべき美容医療」がわかる美容医療メディア
クマ取り
クマ取り失敗したくない方必見!成功の秘訣満載★
脂肪吸引
美は武器!夜職女性のための美の総合メディア
予約・お問い合わせ
美容外科 MENU
Language
メインメニュー
診療内容一覧
料金一覧
クリニック案内
ドクター一覧
モニター募集
症例写真
よくある質問
当院が選ばれる理由
当院の症例写真は、画像処理により形や大きさをかえるような処理は一切おこなっておりません。
大野津介 医師
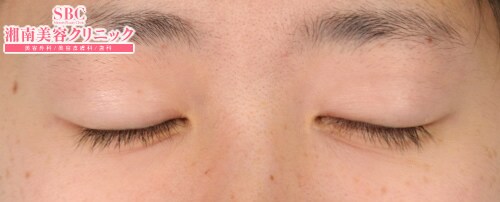
施術前
施術後1ヶ月後
施術した院
部位
施術
施術回数
数量
性別
クイックコスティーク・ダブルを受けられたお客様です施術前・1ヶ月経過したお写真ですぱっちり二重になりましたね♪長い休みが取りにくい方明日から学校or仕事だからダウンタイムが気になる!!そんな方にオススメなのがクイックコスメティーク・ダブルです!施術直後からメイク可能なのも魅力的です♪クイックコスメティーク法、クイックコスメティーク・ダブル法は、表に全く傷が付かず、結び目が気にならない、当日からお化粧が可能、また腫れも最小限、持ちもいい という特徴を持つ、医学的には経結膜的埋没法重瞼術(二重術)と言う画期的な埋没法です。瞼表面に針を通す事が無く傷が付かない→ 腫れが極めて少ない 傷が気にならない 当日からお化粧が可能。埋没糸・結紮点が裏側(結膜側)に全く露出していない → 安全 結び目が気ならない。挙筋法による埋没法 → 瞼板法に比べライン持続率もいい。クイックコスメティーク・ダブル法は、更に強度を2倍にする事で、持ちも最高レベルになっています。周りの人に極力ばれたくない方、ダウンタイムがなかなか取れない方、埋没法が初めてで不安な方、また、以前埋没法を受けられて、その時腫れてもうトライしたくない、と言う方にも安心して受けて頂く事が出来ます。スタッフ・家族にも勧められる最高品質の埋没法を、是非御検討下さい。こんな方にはクイックコスメティーク・ダブルをオススメします!モニター様も募集中です!!デザインから施術まで、二重術にはこだわりの多い大野医師があなたの理想の二重に近づけます!是非ご相談ください!【instagram毎日更新中】@onoshinsuke_sbcインスタグラムではリアルタイムで沢山の症例写真や施術動画をあげています!≪下の「instagram」アイコンからも飛べます≫
施術担当者からのコメント
クイックコスティーク・ダブルを受けられたお客様です
施術前・1ヶ月経過したお写真です
ぱっちり二重になりましたね♪
長い休みが取りにくい方
明日から学校or仕事だからダウンタイムが気になる!!
そんな方にオススメなのがクイックコスメティーク・ダブルです!
施術直後からメイク可能なのも魅力的です♪
クイックコスメティーク法、クイックコスメティーク・ダブル法は、表に全く傷が付かず、結び目が気にならない、当日からお化粧が可能、また腫れも最小限、持ちもいい という特徴を持つ、医学的には経結膜的埋没法重瞼術(二重術)と言う画期的な埋没法です。
瞼表面に針を通す事が無く傷が付かない→ 腫れが極めて少ない 傷が気にならない 当日からお化粧が可能。
埋没糸・結紮点が裏側(結膜側)に全く露出していない → 安全 結び目が気ならない。
挙筋法による埋没法 → 瞼板法に比べライン持続率もいい。
クイックコスメティーク・ダブル法は、更に強度を2倍にする事で、持ちも最高レベルになっています。
周りの人に極力ばれたくない方、ダウンタイムがなかなか取れない方、埋没法が初めてで不安な方、また、以前埋没法を受けられて、その時腫れてもうトライしたくない、と言う方にも安心して受けて頂く事が出来ます。
スタッフ・家族にも勧められる最高品質の埋没法を、是非御検討下さい。
こんな方にはクイックコスメティーク・ダブルをオススメします!
モニター様も募集中です!!
デザインから施術まで、二重術にはこだわりの多い大野医師が
あなたの理想の二重に近づけます!
是非ご相談ください!
【instagram毎日更新中】
@onoshinsuke_sbc
インスタグラムではリアルタイムで沢山の症例写真や
施術動画をあげています!
≪下の「instagram」アイコンからも飛べます≫