美容外科・美容皮膚科・審美歯科なら湘南美容クリニック
電話予約・電話問い合わせ 10:00~22:45対応 番号を通知してお電話ください 0120-489-100
Instagram
LINE
YouTube
公式アプリ
美容皮膚科
あなたに最適な美容メンテナンスをサポートします!
二重整形
これを見たらあなたも思わず二重にしたくなる♡
医療ダイエット
医療ダイエットをしたらマイナス何センチ?リアルな結果を発信中!
若返り
年齢別・お悩み別で「今やるべき美容医療」がわかる美容医療メディア
クマ取り
クマ取り失敗したくない方必見!成功の秘訣満載★
脂肪吸引
美は武器!夜職女性のための美の総合メディア
予約・お問い合わせ
美容外科 MENU
Language
メインメニュー
診療内容一覧
料金一覧
クリニック案内
ドクター一覧
モニター募集
症例写真
よくある質問
当院が選ばれる理由
当院の症例写真は、画像処理により形や大きさをかえるような処理は一切おこなっておりません。
大野津介 医師
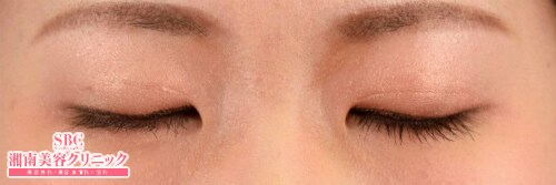
施術前
施術後1ヶ月後
施術した院
部位
施術
施術回数
数量
性別
こちらのお客様はフォーエバー二重術をお受けになられたお客様です施術前・施術後1ヶ月経過したお化粧をして頂いたお写真ですフォーエバー二重術は腫れが目立たなく取れにくい、さらに2日後からメイク可能な埋没法です。・過去に埋没法を受けたけど戻ってしまった方・アイテープかぶれのある方・広いラインをお求めの方・皮膚のたるみが強い方・まぶたが腫れぼったい方・二重の持続を重視したい方こんな方にはフォーエバー二重術をオススメします!モニター様も募集中です!!デザインから施術まで、二重術にはこだわりの多い大野医師があなたの理想の二重に近づけます!是非ご相談ください!【instagram毎日更新中】@onoshinsuke_sbcインスタグラムではリアルタイムで沢山の症例写真や施術動画をあげています!≪下の「instagram」アイコンからも飛べます≫
施術担当者からのコメント
こちらのお客様はフォーエバー二重術をお受けになられたお客様です
施術前・施術後1ヶ月経過したお化粧をして頂いたお写真です
フォーエバー二重術は腫れが目立たなく取れにくい、
さらに2日後からメイク可能な埋没法です。
・過去に埋没法を受けたけど戻ってしまった方
・アイテープかぶれのある方
・広いラインをお求めの方
・皮膚のたるみが強い方
・まぶたが腫れぼったい方
・二重の持続を重視したい方
こんな方にはフォーエバー二重術をオススメします!
モニター様も募集中です!!
デザインから施術まで、二重術にはこだわりの多い大野医師が
あなたの理想の二重に近づけます!
是非ご相談ください!
【instagram毎日更新中】
@onoshinsuke_sbc
インスタグラムではリアルタイムで沢山の症例写真や
施術動画をあげています!
≪下の「instagram」アイコンからも飛べます≫