症例写真(No.263279)

当院の症例写真は、画像処理により形や大きさをかえるような処理は一切おこなっておりません。

古澤雅史 医師

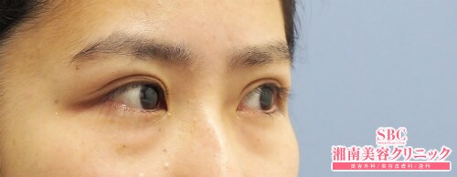
No.263279【二重・二重整形】二重・二重整形】《術後3ヶ月》まぶたの開きを良くして印象アップ。頭痛や肩こりの原因にもなる眼瞼下垂を治す!エリア総括ドクター兼池袋東口院院長 古澤雅史による「眼瞼下垂+全切開二重術」

施術前

術前です
→

施術後3ヶ月後

術後3ヶ月です
すべての画像を見る

施術した院

部位

施術

施術回数

数量

性別

施術担当者からのコメント

眼瞼下垂+全切開二重術 術後3ヶ月

眼瞼下垂とはまぶたの筋肉が弱ってしまうことで、まぶたの開きが悪くなる症状のことです。
額の筋肉を使って目を開く癖がついてしまう為、頭痛や肩こりを引き起こす危険性があります。
また、額の横ジワの原因にもなってしまいます。

眼瞼下垂は、進行すると保険適応のクリニックでの治療も出来ますが
二重のデザイン性を重視するなら美容クリニックでの施術をおすすめいたします。

目元の切開の施術は、完成までの目安は1?3ヶ月。
眼瞼下垂の施術では、完全に違和感がなくなるまでに6ヶ月ほどかかる方もいらっしゃいます。



×

当院におけるワクチン接種後の治療間隔(ガイドライン)

美容皮膚科、美容外科小手術

前後3日(手術日は含まず)、自覚する副反応がなければ可
安心麻酔を使用するものは接種後1週間は空ける

美容外科中、大手術

前後1週間
副反応が残っている場合は延期
接種部位と手術部位が同じ場合は2週間は空ける

×

お急ぎの方はお電話ください

0120-489-100

受付時間 / 10:00~23:00