症例写真(No.278208)

当院の症例写真は、画像処理により形や大きさをかえるような処理は一切おこなっておりません。

加藤由紀子(歯科) 医師

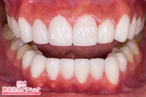
No.278208【美容歯科】★プレミアムダイヤモンドセラミック★上下16本★

施術前

上の1本は飛びて出て生えていました。
→

施術後3ヶ月後

色と形を整えて綺麗な歯並びに仕上げました。
すべての画像を見る

施術した院

部位

施術

施術回数

数量

性別

施術担当者からのコメント

『出会い』の第一印象は、口元の美しさと言われている事はご存知ですか?

人生の中で、皆さんには、様々の出会いがあると思います。

その出会いをステキなものにして欲しいと願っています。

だからこそ、お化粧や髪型では取り繕えない部分である、口元の美しさも手に入れて欲しいものです。

口元は、その人の生活が垣間見える部分でもあります。

美しさと、さらには機能まで兼ね備えた口元を、共に考え、デザインしていきましょう!!

女医として、親しみやすく、話しやすいドクターでありたいと思っています。

些細な事も、何でもお話しください。

みなさんのステキな出会いにお力をお貸し出来るよう、精一杯取り組ませて頂きます。

お待ちしております。



×

当院におけるワクチン接種後の治療間隔(ガイドライン)

美容皮膚科、美容外科小手術

前後3日(手術日は含まず)、自覚する副反応がなければ可
安心麻酔を使用するものは接種後1週間は空ける

美容外科中、大手術

前後1週間
副反応が残っている場合は延期
接種部位と手術部位が同じ場合は2週間は空ける

×

お急ぎの方はお電話ください

0120-489-100

受付時間 / 10:00~23:00