症例写真(No.282445)

当院の症例写真は、画像処理により形や大きさをかえるような処理は一切おこなっておりません。

柿野統史(歯科) 医師

No.282445【美容歯科】マウスピース矯正(インビザライン GO)

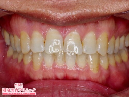
施術前

ガタつきのある術前
→

施術後6ヶ月後

矯正終了後
すべての画像を見る

施術した院

部位

施術

施術回数

数量

性別

施術担当者からのコメント

湘南歯科グループ唯一の技術指導医
審美・美容歯科経験西日本No.1
歯科西エリアマネージングドクター
経験・診断・技術に基づいた本物の施術をご提供致します。

マウスピース矯正=インビザラインGOの症例です。
術前のガタつきの目立つ前歯。
この歯並びをマウスピースを1日20時間以上装着する事で改善。
ガタつき整いました。



×

当院におけるワクチン接種後の治療間隔(ガイドライン)

美容皮膚科、美容外科小手術

前後3日(手術日は含まず)、自覚する副反応がなければ可
安心麻酔を使用するものは接種後1週間は空ける

美容外科中、大手術

前後1週間
副反応が残っている場合は延期
接種部位と手術部位が同じ場合は2週間は空ける