お急ぎの方はお電話ください
WEB予約
メンズ専用
LINE登録
オンラインストア
SBC公式アプリ
SBC 採用サイト
医療機関検索サイトアイメッド
定額制セルフエステ
当院の症例写真は、画像処理により形や大きさをかえるような処理は一切おこなっておりません。
柿野統史(歯科) 医師
施術前
施術後6ヶ月後
施術した院
部位
施術
施術回数
数量
性別
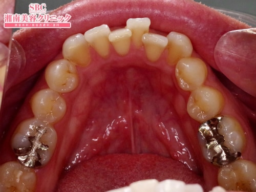
湘南歯科グループ唯一の技術指導医審美・美容歯科経験西日本No.1歯科西エリアマネージングドクター経験・診断・技術に基づいた本物の施術をご提供致します。マウスピース矯正=インビザラインGOの症例です。術前のガタつきの目立つ前歯。この歯並びをマウスピースを1日20時間以上装着する事で改善。ガタつき整いました。
前後3日(手術日は含まず)、自覚する副反応がなければ可安心麻酔を使用するものは接種後1週間は空ける
前後1週間副反応が残っている場合は延期接種部位と手術部位が同じ場合は2週間は空ける
施術担当者からのコメント
湘南歯科グループ唯一の技術指導医
審美・美容歯科経験西日本No.1
歯科西エリアマネージングドクター
経験・診断・技術に基づいた本物の施術をご提供致します。
マウスピース矯正=インビザラインGOの症例です。
術前のガタつきの目立つ前歯。
この歯並びをマウスピースを1日20時間以上装着する事で改善。
ガタつき整いました。