美容外科・美容皮膚科・審美歯科なら湘南美容クリニック
電話予約・電話問い合わせ 10:00~22:45対応 番号を通知してお電話ください 0120-489-100
Instagram
LINE
YouTube
公式アプリ
美容皮膚科
あなたに最適な美容メンテナンスをサポートします!
二重整形
これを見たらあなたも思わず二重にしたくなる♡
医療ダイエット
医療ダイエットをしたらマイナス何センチ?リアルな結果を発信中!
若返り
年齢別・お悩み別で「今やるべき美容医療」がわかる美容医療メディア
クマ取り
クマ取り失敗したくない方必見!成功の秘訣満載★
脂肪吸引
美は武器!夜職女性のための美の総合メディア
予約・お問い合わせ
美容外科 MENU
Language
メインメニュー
診療内容一覧
料金一覧
クリニック案内
ドクター一覧
モニター募集
症例写真
よくある質問
当院が選ばれる理由
当院の症例写真は、画像処理により形や大きさをかえるような処理は一切おこなっておりません。
本間重行 医師
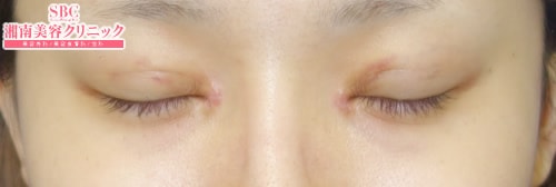
施術前
施術後1週間後
施術後1ヶ月後
施術した院
部位
施術
施術回数
数量
性別
施術したのは、【目頭切開プレミアム】【フォーエバー二重術】です。術後3ヶ月、目頭切開法の傷跡も目立たず綺麗です。これから6ヶ月頃には更に目立たなくなります。お化粧映えする平行型二重が完成しています。お目元のお悩みは、ぜひ池袋西口院院長の本間までご相談下さい!現在、池袋西口院で大変お得なモニター様を募集しておりますので、ぜひご利用下さい。期間限定・人数限定の格安モニターもありますのでお見逃しなく!★★instagramやってます★★instaの方ではより詳しく&沢山の症例写真を載せています!是非チェックしてみて下さい♪@shigeyuki.honma≪↓↓下の「instagram」アイコンから飛べます↓↓≫☆followme☆
施術担当者からのコメント
施術したのは、
【目頭切開プレミアム】
【フォーエバー二重術】
です。
術後3ヶ月、
目頭切開法の傷跡も目立たず綺麗です。
これから6ヶ月頃には更に目立たなくなります。
お化粧映えする平行型二重が完成しています。
お目元のお悩みは、ぜひ池袋西口院院長の本間までご相談下さい!
現在、池袋西口院で大変お得なモニター様を募集しておりますので、ぜひご利用下さい。
期間限定・人数限定の格安モニター
もありますのでお見逃しなく!
★★instagramやってます★★
instaの方ではより詳しく&沢山の症例写真を載せています!
是非チェックしてみて下さい♪
@shigeyuki.honma
≪↓↓下の「instagram」アイコンから飛べます↓↓≫☆followme☆