美容外科・美容皮膚科・審美歯科なら湘南美容クリニック
電話予約・電話問い合わせ 10:00~22:45対応 番号を通知してお電話ください 0120-489-100
Instagram
LINE
YouTube
公式アプリ
美容皮膚科
あなたに最適な美容メンテナンスをサポートします!
二重整形
これを見たらあなたも思わず二重にしたくなる♡
医療ダイエット
医療ダイエットをしたらマイナス何センチ?リアルな結果を発信中!
若返り
年齢別・お悩み別で「今やるべき美容医療」がわかる美容医療メディア
クマ取り
クマ取り失敗したくない方必見!成功の秘訣満載★
脂肪吸引
美は武器!夜職女性のための美の総合メディア
予約・お問い合わせ
美容外科 MENU
Language
メインメニュー
診療内容一覧
料金一覧
クリニック案内
ドクター一覧
モニター募集
症例写真
よくある質問
当院が選ばれる理由
当院の症例写真は、画像処理により形や大きさをかえるような処理は一切おこなっておりません。
山元亮士(歯科) 医師
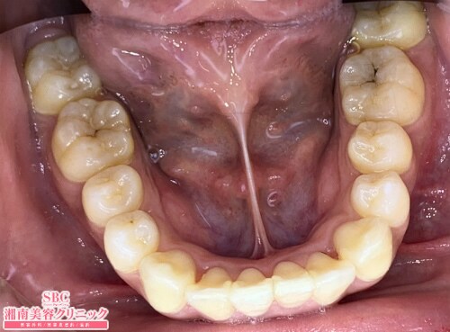
施術前
施術後8ヶ月後
施術した院
部位
施術
施術回数
数量
性別
.・歯を極力削りたくない方・ワイヤーは嫌な方・審美目的の神経治療に強く抵抗がある方・矯正中のことを周りにバレたくない方・前歯だけ少し動かしたい方.インビザラインGO・2019年、2020年、症例数日本一ご自身で着脱できるので歯磨きしやすく、お口の中を衛生的に保てます。食事中はマウスピースを外すので、食べにくいといった不快感もゼロですワイヤーがないので、口の中が傷付きにくい。.リスク:IPR(歯間を削る事)する場合、冷水痛顎関節症、後戻りetc 施術の説明:マウスピース矯正は、1日20時間以上マウスピースを装着する事により歯並びの矯正を行う事が出来る治療です。施術の副作用(リスク):歯を少し削る事があります。アタッチメントと呼ばれる装置を歯に取り付ける必要があります。後戻りの可能性があります。計画通りに歯が動かない場合もあります。
施術担当者からのコメント
.
・歯を極力削りたくない方
・ワイヤーは嫌な方
・審美目的の神経治療に強く抵抗がある方
・矯正中のことを周りにバレたくない方
・前歯だけ少し動かしたい方
.
インビザラインGO
・2019年、2020年、症例数日本一
ご自身で着脱できるので歯磨きしやすく、お口の中を衛生的に保てます。食事中はマウスピースを外すので、食べにくいといった不快感もゼロです
ワイヤーがないので、口の中が傷付きにくい。
.
リスク:
IPR(歯間を削る事)する場合、冷水痛
顎関節症、後戻りetc
施術の説明:マウスピース矯正は、1日20時間以上マウスピースを装着する事により歯並びの矯正を行う事が出来る治療です。
施術の副作用(リスク):歯を少し削る事があります。アタッチメントと呼ばれる装置を歯に取り付ける必要があります。後戻りの可能性があります。計画通りに歯が動かない場合もあります。