美容外科・美容皮膚科・審美歯科なら湘南美容クリニック
電話予約・電話問い合わせ 10:00~22:45対応 番号を通知してお電話ください 0120-489-100
Instagram
LINE
YouTube
公式アプリ
美容皮膚科
あなたに最適な美容メンテナンスをサポートします!
二重整形
これを見たらあなたも思わず二重にしたくなる♡
医療ダイエット
医療ダイエットをしたらマイナス何センチ?リアルな結果を発信中!
若返り
年齢別・お悩み別で「今やるべき美容医療」がわかる美容医療メディア
クマ取り
クマ取り失敗したくない方必見!成功の秘訣満載★
脂肪吸引
美は武器!夜職女性のための美の総合メディア
予約・お問い合わせ
美容外科 MENU
Language
メインメニュー
診療内容一覧
料金一覧
クリニック案内
ドクター一覧
モニター募集
症例写真
よくある質問
当院が選ばれる理由
当院の症例写真は、画像処理により形や大きさをかえるような処理は一切おこなっておりません。
本間重行 医師
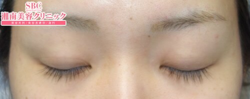
施術前
施術後1ヶ月後
施術した院
部位
施術
施術回数
数量
性別
【クイックコスメティーク】≪術前→1ヶ月(メイクあり)≫クイックコスメティークのメリットは、■経結膜的埋没法重瞼術という、まぶたの表側に針を通さない術式なので、傷がつかない=腫れのリスクが極めて少ない手術です。■糸玉がまぶた表面に出ないので、生まれつきの二重の人の様な自然さがあります。■もし仮に腫れ、むくみ、内出血が出てしまったとしても、術直後からメイク可能なので、うまく隠せます。※腫れやむくみは、手術翌日の方が出ます。特にむくみに関しては、麻酔液の量やその方の体質(むくみやすい等)寝起き直後などの要因により様々です。(なので術直後の写真が腫れてないからと言って腕が良いとは限らないんですよね。術直後の写真だけで判断するよりも、1週間、1ヶ月の経過やデザイン、まぶたを閉じた時の食い込みなど総合的に判断して貰うといいと思います。)なので、クイックコスメティークを選んで貰う事により、次の日メイクをして仕事や学校に行けるので安心だと思います。美しい二重をご希望の方は、ぜひ六本木院院長の本間までご相談下さい。★★instagramやってます★★instaの方ではより詳しく&沢山の症例写真を載せています!是非チェックしてみて下さい♪@shigeyuki.honma≪↓↓下の「instagram」アイコンから飛べます↓↓≫☆followme☆
施術担当者からのコメント
【クイックコスメティーク】
≪術前→1ヶ月(メイクあり)≫
クイックコスメティークのメリットは、
■経結膜的埋没法重瞼術という、まぶたの表側に針を通さない術式なので、傷がつかない=腫れのリスクが極めて少ない手術です。
■糸玉がまぶた表面に出ないので、生まれつきの二重の人の様な自然さがあります。
■もし仮に腫れ、むくみ、内出血が出てしまったとしても、術直後からメイク可能なので、うまく隠せます。
※腫れやむくみは、手術翌日の方が出ます。
特にむくみに関しては、麻酔液の量やその方の体質(むくみやすい等)寝起き直後などの要因により様々です。
(なので術直後の写真が腫れてないからと言って腕が良いとは限らないんですよね。術直後の写真だけで判断するよりも、1週間、1ヶ月の経過やデザイン、まぶたを閉じた時の食い込みなど総合的に判断して貰うといいと思います。)
なので、クイックコスメティークを選んで貰う事により、次の日メイクをして仕事や学校に行けるので安心だと思います。
美しい二重をご希望の方は、ぜひ六本木院院長の本間までご相談下さい。
★★instagramやってます★★
instaの方ではより詳しく&沢山の症例写真を載せています!
是非チェックしてみて下さい♪
@shigeyuki.honma
≪↓↓下の「instagram」アイコンから飛べます↓↓≫☆followme☆