症例写真(No.289596)

当院の症例写真は、画像処理により形や大きさをかえるような処理は一切おこなっておりません。

柿野統史(歯科) 医師

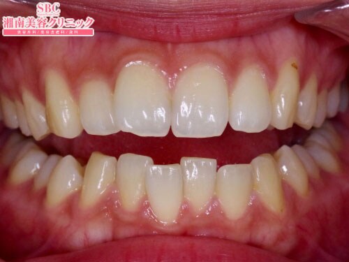
No.289596【美容歯科】インビザラインGO

施術前

ガタつきの目立つ歯並び
→

施術後6ヶ月後

ガタつき改善
すべての画像を見る

施術した院

部位

施術

施術回数

数量

性別

施術担当者からのコメント

湘南歯科グループ技術指導医
審美・美容歯科経験西日本No.1
経験・診断・技術に基づいた本物の施術をご提供致します。

マウスピース矯正 インビザラインGO
部分矯正のインビザラインGOなら短期間で歯並び改善が可能。

術前のガタつきのある歯並び。
1日20?22時間以上マウスピースを装着して約半年。
歯並び綺麗に改善出来ます。



×

当院におけるワクチン接種後の治療間隔(ガイドライン)

美容皮膚科、美容外科小手術

前後3日(手術日は含まず)、自覚する副反応がなければ可
安心麻酔を使用するものは接種後1週間は空ける

美容外科中、大手術

前後1週間
副反応が残っている場合は延期
接種部位と手術部位が同じ場合は2週間は空ける