美容外科・美容皮膚科・審美歯科なら湘南美容クリニック
電話予約・電話問い合わせ 10:00~22:45対応 番号を通知してお電話ください 0120-489-100
Instagram
LINE
YouTube
公式アプリ
美容皮膚科
あなたに最適な美容メンテナンスをサポートします!
二重整形
これを見たらあなたも思わず二重にしたくなる♡
医療ダイエット
医療ダイエットをしたらマイナス何センチ?リアルな結果を発信中!
若返り
年齢別・お悩み別で「今やるべき美容医療」がわかる美容医療メディア
クマ取り
クマ取り失敗したくない方必見!成功の秘訣満載★
脂肪吸引
美は武器!夜職女性のための美の総合メディア
予約・お問い合わせ
美容外科 MENU
Language
メインメニュー
診療内容一覧
料金一覧
クリニック案内
ドクター一覧
モニター募集
症例写真
よくある質問
当院が選ばれる理由
当院の症例写真は、画像処理により形や大きさをかえるような処理は一切おこなっておりません。
竹澤瞬(歯科) 医師
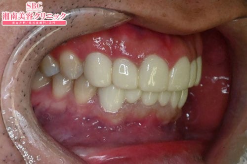
施術前
施術後4ヶ月後
施術した院
部位
施術
施術回数
数量
性別
30代男性【セラミック矯正とは】 ・部分的に矯正ができる ・矯正器具を付けなくて良い ・短期間で施術が完了する ・歯並びだけではなく、色、形、歯茎のラインも綺麗にすることができます 【ダイヤモンドセラミックの特徴】 ・人工ダイヤモンドと呼ばれるジルコニアを使用し天然歯と同等の強度がある ・透明感があり審美的にも非常に美しい ・複雑な歯並びも改善する事ができる ・長年使っていても変色しない 是非一度、無料相談へお越しください! 一緒にお悩みを解決していきましょう!
施術担当者からのコメント
30代男性
【セラミック矯正とは】
・部分的に矯正ができる
・矯正器具を付けなくて良い
・短期間で施術が完了する
・歯並びだけではなく、色、形、歯茎のラインも綺麗にすることができます
【ダイヤモンドセラミックの特徴】
・人工ダイヤモンドと呼ばれるジルコニアを使用し天然歯と同等の強度がある
・透明感があり審美的にも非常に美しい
・複雑な歯並びも改善する事ができる
・長年使っていても変色しない
是非一度、無料相談へお越しください! 一緒にお悩みを解決していきましょう!