美容外科・美容皮膚科・審美歯科なら湘南美容クリニック
電話予約・電話問い合わせ 10:00~22:45対応 番号を通知してお電話ください 0120-489-100
Instagram
LINE
YouTube
公式アプリ
美容皮膚科
あなたに最適な美容メンテナンスをサポートします!
二重整形
これを見たらあなたも思わず二重にしたくなる♡
医療ダイエット
医療ダイエットをしたらマイナス何センチ?リアルな結果を発信中!
若返り
年齢別・お悩み別で「今やるべき美容医療」がわかる美容医療メディア
クマ取り
クマ取り失敗したくない方必見!成功の秘訣満載★
脂肪吸引
美は武器!夜職女性のための美の総合メディア
予約・お問い合わせ
美容外科 MENU
Language
メインメニュー
診療内容一覧
料金一覧
クリニック案内
ドクター一覧
モニター募集
症例写真
よくある質問
当院が選ばれる理由
当院の症例写真は、画像処理により形や大きさをかえるような処理は一切おこなっておりません。
浅井潤彦(歯科) 医師
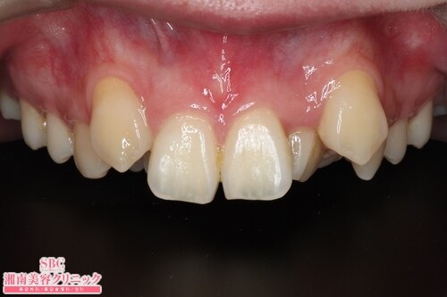
施術前
施術後1ヶ月後
施術した院
部位
施術
施術回数
数量
性別
ジルコニアダイヤモンドセラミックでPerfect Smileへ ?<ダイヤモンドセラミックとは>人工ダイヤモンドであるジルコニアを使用します。強度は天然歯とほぼ同等です。?透明感があるため、審美的に美しく、透き通る白さがあります。?複雑な歯並びを改善することが出来ます。?長期耐久性に優れており、変色しません。?<セラミック矯正とは>?部分的に気になるところだけを治療することが出来ます。?費用を抑え短期間で終了することが可能です。?歯並びだけでなく色・形・歯茎の形まで美しく変えることが出来ます。?矯正歯科処置によくある「後戻り」がほとんどなく、治療期間中の器具・装置がないため、周りの人にバレる心配がありません。?<治療内容>?ジルコニアセラミックで美しいお口もとにさせて頂きました。?お口元にお悩みの方、是非一度カウンセリングにお見えになって下さい。一緒にお悩みを解決して、最高の笑顔を手に入れましょう!?浅井潤彦
施術担当者からのコメント
ジルコニアダイヤモンドセラミックでPerfect Smileへ
?
<ダイヤモンドセラミックとは>
人工ダイヤモンドであるジルコニアを使用します。強度は天然歯とほぼ同等です。
?
透明感があるため、審美的に美しく、透き通る白さがあります。
?
複雑な歯並びを改善することが出来ます。
?
長期耐久性に優れており、変色しません。
?
<セラミック矯正とは>
?
部分的に気になるところだけを治療することが出来ます。
?
費用を抑え短期間で終了することが可能です。
?
歯並びだけでなく色・形・歯茎の形まで美しく変えることが出来ます。
?
矯正歯科処置によくある「後戻り」がほとんどなく、治療期間中の器具・装置がないため、周りの人にバレる心配がありません。
?
<治療内容>
?
ジルコニアセラミックで美しいお口もとにさせて頂きました。
?
お口元にお悩みの方、是非一度カウンセリングにお見えになって下さい。
一緒にお悩みを解決して、最高の笑顔を手に入れましょう!
?
浅井潤彦