美容外科・美容皮膚科・審美歯科なら湘南美容クリニック
電話予約・電話問い合わせ 10:00~22:45対応 番号を通知してお電話ください 0120-489-100
Instagram
LINE
YouTube
公式アプリ
美容皮膚科
あなたに最適な美容メンテナンスをサポートします!
二重整形
これを見たらあなたも思わず二重にしたくなる♡
医療ダイエット
医療ダイエットをしたらマイナス何センチ?リアルな結果を発信中!
若返り
年齢別・お悩み別で「今やるべき美容医療」がわかる美容医療メディア
クマ取り
クマ取り失敗したくない方必見!成功の秘訣満載★
脂肪吸引
美は武器!夜職女性のための美の総合メディア
予約・お問い合わせ
美容外科 MENU
Language
メインメニュー
診療内容一覧
料金一覧
クリニック案内
ドクター一覧
モニター募集
症例写真
よくある質問
当院が選ばれる理由
当院の症例写真は、画像処理により形や大きさをかえるような処理は一切おこなっておりません。
倉知子(歯科) 医師
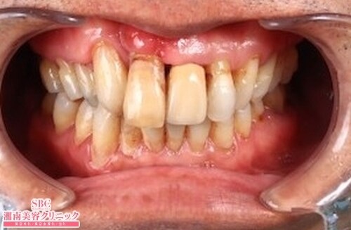
施術前
施術後3ヶ月後
施術した院
部位
施術
施術回数
数量
性別
50代男性。ダイアモンドセラミック4本での症例のご紹介です。こちらのお客様は、歯周病が進行し前歯がグラグラして抜けてしまいそう、とご不安に思いご来院されました。治療としては残せない歯の抜歯をした後、歯周病の基本治療(クリーニングや歯石取り)を行い歯茎の安定を待ってからセラミックの作製を行いました。治療後は歯茎の炎症も消え、綺麗なセラミックが入り大変ご満足頂けました。歯のこと、お口元のことでお悩みでしたらぜひご相談ください♪
施術担当者からのコメント
50代男性。ダイアモンドセラミック4本での症例のご紹介です。
こちらのお客様は、歯周病が進行し前歯がグラグラして抜けてしまいそう、とご不安に思いご来院されました。
治療としては残せない歯の抜歯をした後、歯周病の基本治療(クリーニングや歯石取り)を行い歯茎の安定を待ってからセラミックの作製を行いました。治療後は歯茎の炎症も消え、綺麗なセラミックが入り大変ご満足頂けました。
歯のこと、お口元のことでお悩みでしたらぜひご相談ください♪