美容外科・美容皮膚科・審美歯科なら湘南美容クリニック
電話予約・電話問い合わせ 10:00~22:45対応 番号を通知してお電話ください 0120-489-100
Instagram
LINE
YouTube
公式アプリ
美容皮膚科
あなたに最適な美容メンテナンスをサポートします!
二重整形
これを見たらあなたも思わず二重にしたくなる♡
医療ダイエット
医療ダイエットをしたらマイナス何センチ?リアルな結果を発信中!
若返り
年齢別・お悩み別で「今やるべき美容医療」がわかる美容医療メディア
クマ取り
クマ取り失敗したくない方必見!成功の秘訣満載★
脂肪吸引
美は武器!夜職女性のための美の総合メディア
予約・お問い合わせ
美容外科 MENU
Language
メインメニュー
診療内容一覧
料金一覧
クリニック案内
ドクター一覧
モニター募集
症例写真
よくある質問
当院が選ばれる理由
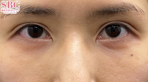
当院の症例写真は、画像処理により形や大きさをかえるような処理は一切おこなっておりません。
河上京介 医師
施術前
施術後1ヶ月後
施術した院
部位
施術
施術回数
数量
性別
今回の症例写真は、目元の若返りの施術です。「目の下の切らないくまたるみ取り+コンデンスリッチフェイス法(目の下からゴルゴライン)」クマ治療の第一歩は目の下のたるみを取り除く手術です。眼窩脂肪と呼ばれる脂肪を取り除くことでこのクマは改善します。お一人お一人にきちんと合った若返り治療の選択とデザインをしていきます。仕上がりには多くのお客様からご好評いただいております。結果を求めるならDr.河上にお任せください!若返り治療に限らず、担当させていただくお客様のお悩みやお顔の状態を見て、最適な治療法を提案させて頂きます!二重はもちろん、糸リフトや鼻整形などのモニターも随時募集中です!持続性抜群で生涯保証付き!人気のクイックコスメティークダブルのモニター様募集もございます♪その他、二の腕やお顔の脂肪吸引にも力を入れております!湘南美容クリニック川口院 院長 河上京介★☆★instagramやってます★☆★インスタの方ではより詳しく&沢山の症例写真を載せています!是非チェックしてみて下さい!!@sbc_kawakami≪↓↓下の「instagram」アイコンから飛べます↓↓≫☆followme☆
施術担当者からのコメント
今回の症例写真は、目元の若返りの施術です。
「目の下の切らないくまたるみ取り+コンデンスリッチフェイス法(目の下からゴルゴライン)」
クマ治療の第一歩は目の下のたるみを取り除く手術です。
眼窩脂肪と呼ばれる脂肪を取り除くことでこのクマは改善します。
お一人お一人にきちんと合った若返り治療の選択とデザインをしていきます。
仕上がりには多くのお客様からご好評いただいております。
結果を求めるならDr.河上にお任せください!
若返り治療に限らず、担当させていただくお客様のお悩みやお顔の状態を見て、最適な治療法を提案させて頂きます!
二重はもちろん、糸リフトや鼻整形などのモニターも随時募集中です!
持続性抜群で生涯保証付き!人気のクイックコスメティークダブルのモニター様募集もございます♪
その他、二の腕やお顔の脂肪吸引にも力を入れております!
湘南美容クリニック川口院 院長 河上京介
★☆★instagramやってます★☆★
インスタの方ではより詳しく&沢山の症例写真を載せています!
是非チェックしてみて下さい!!
@sbc_kawakami
≪↓↓下の「instagram」アイコンから飛べます↓↓≫☆followme☆