症例写真(No.303182)

当院の症例写真は、画像処理により形や大きさをかえるような処理は一切おこなっておりません。

浅井潤彦(歯科) 医師

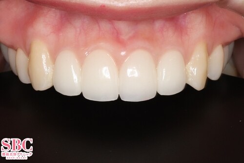
No.303182【美容歯科】整形シンデレラファイナリスト担当Drが貴方に贈る 「あなたの笑顔を最高の笑顔に。」〜The Perfect Smile〜 ジルコニアダイヤモンドセラミック

施術前

術前
→

施術後1ヶ月後

術後
すべての画像を見る

施術した院

部位

施術

施術回数

数量

性別

施術担当者からのコメント

SBC歯科♪ ジルコニアダイヤモンドセラミックでPerfect Smileへ 

<ダイヤモンドセラミックとは>
人工ダイヤモンドであるジルコニアを使用します。強度は天然歯とほぼ同等です。

透明感があるため、審美的に美しく、透き通る白さがあります。

複雑な歯並びを改善することが出来ます。

長期耐久性に優れており、変色しません。

<セラミック矯正とは>

部分的に気になるところだけを治療することが出来ます。

費用を抑え短期間で終了することが可能です。

歯並びだけでなく色・形・歯茎の形まで美しく変えることが出来ます。

矯正歯科処置によくある「後戻り」がほとんどなく、治療期間中の器具・装置がないため、周りの人にバレる心配がありません。

<治療内容>

ジルコニアセラミックで美しいお口もとにさせて頂きました。

お口元にお悩みの方、是非一度カウンセリングにお見えになって下さい。
一緒にお悩みを解決して、最高の笑顔を手に入れましょう!

浅井潤彦



×

当院におけるワクチン接種後の治療間隔(ガイドライン)

美容皮膚科、美容外科小手術

前後3日(手術日は含まず)、自覚する副反応がなければ可
安心麻酔を使用するものは接種後1週間は空ける

美容外科中、大手術

前後1週間
副反応が残っている場合は延期
接種部位と手術部位が同じ場合は2週間は空ける

×

お急ぎの方はお電話ください

0120-489-100

受付時間 / 10:00~23:00