お急ぎの方はお電話ください
WEB予約
メンズ専用
LINE登録
オンラインストア
SBC e Gift
SBC公式アプリ
SBC 採用サイト
医療機関検索サイトアイメッド
定額制セルフエステ
当院の症例写真は、画像処理により形や大きさをかえるような処理は一切おこなっておりません。
前田純(歯科) 医師
施術前
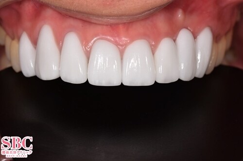
施術後4ヶ月後
施術した院
部位
施術
施術回数
数量
性別
30代男性前突感のある上の歯の歯並びと全体的な歯の色味の改善を主訴としてご来院いただいたお客様です。上の歯8本、下の歯8本のセラミック治療で、歯並び、色、形の美しく整った自然な前歯に改善させていただきました♪【セラミック治療とは】 ・部分的に矯正ができる ・矯正器具を付けなくてよい ・短期間で施術が完了する ・歯並びだけでなく、色、形、歯茎のラインも綺麗にする事が特徴です! 《ダイヤモンドセラミックの特徴》★人工ダイヤモンドと呼ばれるジルコニアを使用し天然歯と同等の強度がある ★透明感があり審美的にも非常に美しい★複雑な歯並びも改善する事ができる★長年使っていても変色しない是非一度、無料相談へお越しください! 一緒にお悩みを解決していきましょう!
前後3日(手術日は含まず)、自覚する副反応がなければ可安心麻酔を使用するものは接種後1週間は空ける
前後1週間副反応が残っている場合は延期接種部位と手術部位が同じ場合は2週間は空ける
施術担当者からのコメント
30代
男性
前突感のある上の歯の歯並びと全体的な歯の色味の改善を主訴としてご来院いただいたお客様です。
上の歯8本、下の歯8本のセラミック治療で、歯並び、色、形の美しく整った自然な前歯に改善させていただきました♪
【セラミック治療とは】
・部分的に矯正ができる
・矯正器具を付けなくてよい
・短期間で施術が完了する
・歯並びだけでなく、色、形、歯茎のラインも綺麗にする事が特徴です!
《ダイヤモンドセラミックの特徴》
★人工ダイヤモンドと呼ばれるジルコニアを使用し天然歯と同等の強度がある
★透明感があり審美的にも非常に美しい
★複雑な歯並びも改善する事ができる
★長年使っていても変色しない
是非一度、無料相談へお越しください! 一緒にお悩みを解決していきましょう!