美容外科・美容皮膚科・審美歯科なら湘南美容クリニック
電話予約・電話問い合わせ 10:00~22:45対応 番号を通知してお電話ください 0120-489-100
Instagram
LINE
YouTube
公式アプリ
美容皮膚科
あなたに最適な美容メンテナンスをサポートします!
二重整形
これを見たらあなたも思わず二重にしたくなる♡
医療ダイエット
医療ダイエットをしたらマイナス何センチ?リアルな結果を発信中!
若返り
年齢別・お悩み別で「今やるべき美容医療」がわかる美容医療メディア
クマ取り
クマ取り失敗したくない方必見!成功の秘訣満載★
脂肪吸引
美は武器!夜職女性のための美の総合メディア
予約・お問い合わせ
美容外科 MENU
Language
メインメニュー
診療内容一覧
料金一覧
クリニック案内
ドクター一覧
モニター募集
症例写真
よくある質問
当院が選ばれる理由
当院の症例写真は、画像処理により形や大きさをかえるような処理は一切おこなっておりません。
片岡二郎 医師
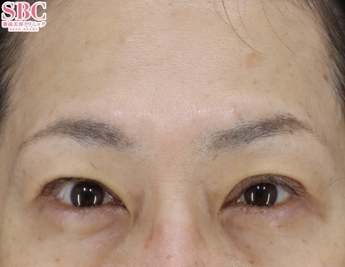
施術前
施術後3ヶ月後
施術した院
部位
施術
施術回数
数量
性別
今回『眼瞼下垂+二重全切開たるみ取り併用』手術を行いました。術後3ヶ月までの比較写真です。----------------------------------------------------50代女性のお客様です。ご覧のように重度の眼瞼下垂症にてお悩みでした。まだまだ腫れておりますが、眼瞼下垂が改善していることがお分かりいただけると思います。自然な範囲で二重ラインをデザインして、たるみ取りも行いました。ただし、たるみ取りもあくまで自然な範囲で行っておりますので、今後眉下切開も行う予定です。挙筋腱膜とミューラー筋を剥離して、lateral hornを解除した上で挙筋腱膜前転固定してます。私どもは吸収されにくいアルフレックス糸を用いて瞼板固定をおこないます。お陰様で日々多くの眼瞼下垂手術を担当させていただいております。保険診療では得ることが出来ない仕上がりの自然さやクオリティーをご提供できると思います。----------------------------------------------------執刀医 片岡二郎●医師・医学博士/美容外科専門医(JSAS)●湘南美容クリニック新宿本院勤務●医師歴26年(脳神経外科歴10年・美容外科歴16年)●SBCグループ技術統括医長●22年度 若返りのエキスパートドクター認定医●21年上期・下期 切開フェイスリフト 執刀件数 全国1位(SBC内)【私の診療方針】脳神経外科手術で培ったマイクロサージェリー技術をベースに、緻密で繊細な治療を信条としております。フェイスデザインと若返りのご相談が多いです。また印象の良いお顔立ち・バランスのとれた自然な仕上がりにもフォーカスしています。お客様の繊細なご要望にお応えするために、再生医療を中心とした最先端技術と伝統的な美容外科手術を融合させた、自然で安全な治療をご提案できることが私のアドバンテージです。ご予約の際は「片岡医師指名」とお伝えください。ご予約はこちらから新宿本院専用フリーダイヤル0120-5489-40もしくはMy SBCからご予約ください。instagram@sbc_kataokaで検索
施術担当者からのコメント
今回『眼瞼下垂+二重全切開たるみ取り併用』手術を行いました。
術後3ヶ月までの比較写真です。
----------------------------------------------------
50代女性のお客様です。
ご覧のように重度の眼瞼下垂症にてお悩みでした。
まだまだ腫れておりますが、眼瞼下垂が改善していることがお分かりいただけると思います。
自然な範囲で二重ラインをデザインして、たるみ取りも行いました。
ただし、たるみ取りもあくまで自然な範囲で行っておりますので、今後眉下切開も行う予定です。
挙筋腱膜とミューラー筋を剥離して、lateral hornを解除した上で挙筋腱膜前転固定してます。
私どもは吸収されにくいアルフレックス糸を用いて瞼板固定をおこないます。
お陰様で日々多くの眼瞼下垂手術を担当させていただいております。
保険診療では得ることが出来ない仕上がりの自然さやクオリティーをご提供できると思います。
----------------------------------------------------
執刀医 片岡二郎
●医師・医学博士/美容外科専門医(JSAS)
●湘南美容クリニック新宿本院勤務
●医師歴26年(脳神経外科歴10年・美容外科歴16年)
●SBCグループ技術統括医長
●22年度 若返りのエキスパートドクター認定医
●21年上期・下期 切開フェイスリフト 執刀件数 全国1位(SBC内)
【私の診療方針】
脳神経外科手術で培ったマイクロサージェリー技術をベースに、
緻密で繊細な治療を信条としております。
フェイスデザインと若返りのご相談が多いです。
また印象の良いお顔立ち・バランスのとれた
自然な仕上がりにもフォーカスしています。
お客様の繊細なご要望にお応えするために、
再生医療を中心とした最先端技術と
伝統的な美容外科手術を融合させた、
自然で安全な治療をご提案できることが私のアドバンテージです。
ご予約の際は「片岡医師指名」とお伝えください。
ご予約はこちらから
新宿本院専用フリーダイヤル
0120-5489-40
もしくはMy SBCからご予約ください。
instagram
@sbc_kataokaで検索