美容外科・美容皮膚科・審美歯科なら湘南美容クリニック
電話予約・電話問い合わせ 10:00~22:45対応 番号を通知してお電話ください 0120-489-100
Instagram
LINE
YouTube
公式アプリ
美容皮膚科
あなたに最適な美容メンテナンスをサポートします!
二重整形
これを見たらあなたも思わず二重にしたくなる♡
医療ダイエット
医療ダイエットをしたらマイナス何センチ?リアルな結果を発信中!
若返り
年齢別・お悩み別で「今やるべき美容医療」がわかる美容医療メディア
クマ取り
クマ取り失敗したくない方必見!成功の秘訣満載★
脂肪吸引
美は武器!夜職女性のための美の総合メディア
予約・お問い合わせ
美容外科 MENU
Language
メインメニュー
診療内容一覧
料金一覧
クリニック案内
ドクター一覧
モニター募集
症例写真
よくある質問
当院が選ばれる理由
当院の症例写真は、画像処理により形や大きさをかえるような処理は一切おこなっておりません。
片岡二郎 医師
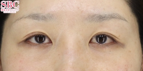
施術前
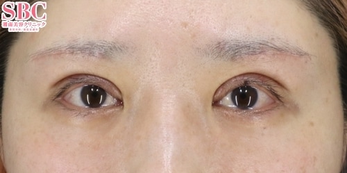
施術後1ヶ月後
施術後抜糸直後
施術した院
部位
施術
施術回数
数量
性別
30代女性のお客様です。 眠たい目元をとにかく大きくしたいとのご要望です。今回以下の治療を行いました。・眼瞼下垂+二重全切開(たるみ取り併用・埋没糸抜去)・眉下切開・リジェネラ真皮移植・MD式術後1ヶ月目の比較写真です。まだ腫れていますが、眠たい印象のお目元が、随分とパッチリ大きくなりましたね。若々しい印象のお目元になってます。二重ラインの切開の際にたるみも多少は取ることが出来ますが、基本は眉下切開が必要になります。二重ラインでたるみを取りすぎると、二重ラインの重なりが厚くなり不自然になる場合がほとんどです。ただし、二重全切開と眉下切開を同時に行うには、技術と経験、センスが必要となりますね。
施術担当者からのコメント
30代女性のお客様です。
眠たい目元をとにかく大きくしたいとのご要望です。
今回以下の治療を行いました。
・眼瞼下垂+二重全切開(たるみ取り併用・埋没糸抜去)
・眉下切開
・リジェネラ真皮移植
・MD式
術後1ヶ月目の比較写真です。
まだ腫れていますが、眠たい印象のお目元が、随分とパッチリ大きくなりましたね。
若々しい印象のお目元になってます。
二重ラインの切開の際にたるみも多少は取ることが出来ますが、基本は眉下切開が必要になります。二重ラインでたるみを取りすぎると、二重ラインの重なりが厚くなり不自然になる場合がほとんどです。
ただし、二重全切開と眉下切開を同時に行うには、技術と経験、センスが必要となりますね。