症例写真(No.312209)

当院の症例写真は、画像処理により形や大きさをかえるような処理は一切おこなっておりません。

柿野統史(歯科) 医師

No.312209【美容歯科】【マウスピース矯正】歯科医師歴20年以上の柿野統史医師にお任せください!【インビザラインGo】【6カ月経過】

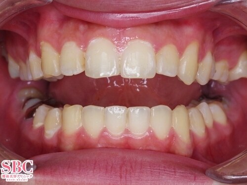
施術前

細かいガタつきや軽度のねじれが
→

施術後6ヶ月後

改善
すべての画像を見る

施術した院

部位

施術

施術回数

数量

性別

施術担当者からのコメント

マウスピース矯正
インビザライン GOの症例です。
術前の細かいガタつきや軽度のねじれが見られる歯並び。
マウスピース矯正はこういった細かい歯並びの改善に適した方法。
約6ヶ月マウスピースを装着する事で整った歯並びに改善しました。

難症例専門ドクター
湘南歯科グループ技術指導医
審美・美容歯科20年以上で経験豊富
経験・診断・技術に基づいた本物の施術をご提供致します。
笑顔は心を明るく、人生を明るくしてくれます。
Youtube・Instagramにて症例多数紹介中



×

当院におけるワクチン接種後の治療間隔(ガイドライン)

美容皮膚科、美容外科小手術

前後3日(手術日は含まず)、自覚する副反応がなければ可
安心麻酔を使用するものは接種後1週間は空ける

美容外科中、大手術

前後1週間
副反応が残っている場合は延期
接種部位と手術部位が同じ場合は2週間は空ける