美容外科・美容皮膚科・審美歯科なら湘南美容クリニック
電話予約・電話問い合わせ 10:00~22:45対応 番号を通知してお電話ください 0120-489-100
Instagram
LINE
YouTube
公式アプリ
美容皮膚科
あなたに最適な美容メンテナンスをサポートします!
二重整形
これを見たらあなたも思わず二重にしたくなる♡
医療ダイエット
医療ダイエットをしたらマイナス何センチ?リアルな結果を発信中!
若返り
年齢別・お悩み別で「今やるべき美容医療」がわかる美容医療メディア
クマ取り
クマ取り失敗したくない方必見!成功の秘訣満載★
脂肪吸引
美は武器!夜職女性のための美の総合メディア
予約・お問い合わせ
美容外科 MENU
Language
メインメニュー
診療内容一覧
料金一覧
クリニック案内
ドクター一覧
モニター募集
症例写真
よくある質問
当院が選ばれる理由
当院の症例写真は、画像処理により形や大きさをかえるような処理は一切おこなっておりません。
赤尾健 医師
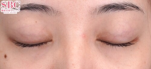
施術前
施術後1ヶ月後
施術した院
部位
施術
施術回数
数量
性別
ご紹介するお客様は20代女性の方です。長年の二重テープでまぶたの皮が伸びてしまい、限界を感じて埋没法を受けようと決心されました。今回は埋没法の中でも、・最も腫れが少なく・最もバレにくく(糸玉のポコつきがしにくい)・最も持ちの良いクイックコスメティーク・トリプルNeoを選択されました。この施術は二重のラインが取れたり薄くなった際に再手術できる保証が一生涯ついてます。手術直後、1週間後、1ヶ月後の写真をご覧ください。蒙古襞のハリがなかったため、目頭側の二重のラインは蒙古襞の上を越える綺麗な平行型になりました。とても綺麗な二重に仕上がり、お客さまにもとても喜んでもらえました!埋没法はカウンセリングとデザインでほぼ結果が決まります。僕はカウンセリングから徹底的にお客様と話し合い、理想とする二重を共にデザインしています。カウンセリングとデザインの時間の方が手術時間より圧倒的に長いです。時には埋没法が困難な方にははっきりと不適応であることも伝えさせていただいてます。私は美容医療で外見が変わることで自信を持ち、自信のある表情から周りの評価が変化し、好循環を生むことを信じて毎日全力で美容医療に取り組んでいます。たったの15分で人生が変わります!!一緒に理想的な二重を作りましょう!!執刀医 池袋東口院院長 赤尾健●医師/美容外科専門医(JSAS)●SBCグループゾーン統括ドクター●2021年、2022年上期・下期 二重整形施術件数全国No.1●2021年、2022年上期・下期 クイックコスメティーク(シングル・ダブル・トリプル合算)施術件数全国No.1●モニターランキング全国No.1●口コミ広場評価全国No.1★★★★話題のSNSはコチラ★★★★目元専用イングタグラム:@sbc_akao症例写真多数掲載!是非ご参考にしてください!TikTok:@dr_akaken芸能人の目元採点やお客さまのビフォーアフター公開中!【YouTube】では様々な解説もしてます。是非参考にしてください。▼▼下の*ドクター関連リンク*から飛べます▼▼
施術担当者からのコメント
ご紹介するお客様は20代女性の方です。
長年の二重テープでまぶたの皮が伸びてしまい、限界を感じて埋没法を受けようと決心されました。
今回は埋没法の中でも、
・最も腫れが少なく
・最もバレにくく(糸玉のポコつきがしにくい)
・最も持ちの良い
クイックコスメティーク・トリプルNeoを選択されました。
この施術は二重のラインが取れたり薄くなった際に再手術できる保証が一生涯ついてます。
手術直後、1週間後、1ヶ月後の写真をご覧ください。
蒙古襞のハリがなかったため、目頭側の二重のラインは蒙古襞の上を越える綺麗な平行型になりました。
とても綺麗な二重に仕上がり、お客さまにもとても喜んでもらえました!
埋没法はカウンセリングとデザインでほぼ結果が決まります。
僕はカウンセリングから徹底的にお客様と話し合い、理想とする二重を共にデザインしています。
カウンセリングとデザインの時間の方が手術時間より圧倒的に長いです。
時には埋没法が困難な方にははっきりと不適応であることも伝えさせていただいてます。
私は美容医療で外見が変わることで自信を持ち、自信のある表情から周りの評価が変化し、好循環を生むことを信じて毎日全力で美容医療に取り組んでいます。
たったの15分で人生が変わります!!一緒に理想的な二重を作りましょう!!
執刀医 池袋東口院院長 赤尾健
●医師/美容外科専門医(JSAS)
●SBCグループゾーン統括ドクター
●2021年、2022年上期・下期 二重整形施術件数全国No.1
●2021年、2022年上期・下期 クイックコスメティーク(シングル・ダブル・トリプル合算)施術件数全国No.1
●モニターランキング全国No.1
●口コミ広場評価全国No.1
★★★★話題のSNSはコチラ★★★★
目元専用イングタグラム:@sbc_akao
症例写真多数掲載!是非ご参考にしてください!
TikTok:@dr_akaken
芸能人の目元採点やお客さまのビフォーアフター公開中!
【YouTube】では様々な解説もしてます。是非参考にしてください。
▼▼下の*ドクター関連リンク*から飛べます▼▼