お急ぎの方はお電話ください
WEB予約
メンズ専用
LINE登録
オンラインストア
SBC公式アプリ
SBC 採用サイト
医療機関検索サイトアイメッド
定額制セルフエステ
当院の症例写真は、画像処理により形や大きさをかえるような処理は一切おこなっておりません。
加瀬令奈(歯科) 医師
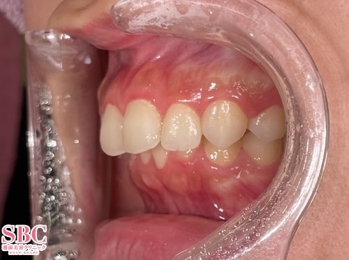
施術前
施術後6ヶ月後
施術した院
部位
施術
施術回数
数量
性別
★☆!!2023年 SBCアワードMVP受賞!!☆★!!2022年上半期 インビザラインライト 全国症例数NO.1 !!に表彰されました。 ありがとうございます。マウスピース矯正なら“れいな先生”【マウスピースもセラミックもできるからこそ、ベストな治療を提案できる強み】【圧倒的な症例数で、貴方の悩みにピンポイントで寄り添う】【予算内や期間内での治療に心がける】【わかりやすい説明と女医ならでは目線】【矯正経験者だからわかる!痛みや治療への配慮】インビザラインexpressインビザラインgoインビザラインlightインビザラインmoderateインビザラインfull湘南マウスピースクリアコレクト湘南美容クリニックなら多数のマウスピース取り扱いあり!貴方にあったメニューでご提案可能!☆instagramにて症例多数掲載中☆@sbc_reinaで検索!ーーーーーーーーーーーーーーーーーーーーーー湘南歯科 新宿院加瀬令奈ご予約は→0120-548-908時間なのか、費用なのか、完成度なのか、ダウンタイムなのか人によって選ぶポイントは様々まずは無料カウンセリングにいらしてみてください♪
前後3日(手術日は含まず)、自覚する副反応がなければ可安心麻酔を使用するものは接種後1週間は空ける
前後1週間副反応が残っている場合は延期接種部位と手術部位が同じ場合は2週間は空ける
0120-489-100
受付時間 / 10:00~23:00
施術担当者からのコメント
★☆!!2023年 SBCアワードMVP受賞!!☆★
!!2022年上半期 インビザラインライト 全国症例数NO.1 !!
に表彰されました。
ありがとうございます。
マウスピース矯正なら“れいな先生”
【マウスピースもセラミックもできるからこそ、ベストな治療を提案できる強み】
【圧倒的な症例数で、貴方の悩みにピンポイントで寄り添う】
【予算内や期間内での治療に心がける】
【わかりやすい説明と女医ならでは目線】
【矯正経験者だからわかる!痛みや治療への配慮】
インビザラインexpress
インビザラインgo
インビザラインlight
インビザラインmoderate
インビザラインfull
湘南マウスピース
クリアコレクト
湘南美容クリニックなら多数のマウスピース取り扱いあり!
貴方にあったメニューでご提案可能!
☆instagramにて症例多数掲載中☆
@sbc_reinaで検索!
ーーーーーーーーーーーーーーーーーーーーーー
湘南歯科 新宿院
加瀬令奈
ご予約は→0120-548-908
時間なのか、費用なのか、完成度なのか、ダウンタイムなのか
人によって選ぶポイントは様々
まずは無料カウンセリングにいらしてみてください♪