美容外科・美容皮膚科・審美歯科なら湘南美容クリニック
電話予約・電話問い合わせ 10:00~22:45対応 番号を通知してお電話ください 0120-489-100
Instagram
LINE
YouTube
公式アプリ
美容皮膚科
あなたに最適な美容メンテナンスをサポートします!
二重整形
これを見たらあなたも思わず二重にしたくなる♡
医療ダイエット
医療ダイエットをしたらマイナス何センチ?リアルな結果を発信中!
若返り
年齢別・お悩み別で「今やるべき美容医療」がわかる美容医療メディア
クマ取り
クマ取り失敗したくない方必見!成功の秘訣満載★
脂肪吸引
美は武器!夜職女性のための美の総合メディア
予約・お問い合わせ
美容外科 MENU
Language
メインメニュー
診療内容一覧
料金一覧
クリニック案内
ドクター一覧
モニター募集
症例写真
よくある質問
当院が選ばれる理由
当院の症例写真は、画像処理により形や大きさをかえるような処理は一切おこなっておりません。
柿野統史(歯科) 医師
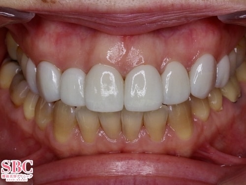
施術前
施術後3週間後
施術した院
部位
施術
施術回数
数量
性別
湘南歯科クリニック大阪心斎橋院 院長難症例をレスキューして笑顔を作ります。上の歯8本の施術です。術前は前歯にかなり強い変色が見られます。ここまで強い変色はホワイトニングでは効果が乏しい。でも、歯を削りたくない。そんなご希望を叶える「削らないセラミック」極薄のセラミックを歯の表面に貼り付けるだけ。最短2回の施術で白く綺麗な歯並びになりました。諦めるのはまだ早い。むし歯や歯周病で歯を見せて笑えない。上手く噛めない。歯並びがコンプレックスでマスクを外せない。そんなお悩みをお持ちの方々を救います。セラミック・マウスピース・インプラント・入れ歯など、あらゆる方法を駆使して笑顔を作ります。ご予算含めたご希望に沿った治療をご提案します。大阪 心斎橋・なんば・梅田からアクセス良好。湘南歯科クリニック大阪心斎橋院へ。
施術担当者からのコメント
湘南歯科クリニック大阪心斎橋院 院長
難症例をレスキューして笑顔を作ります。
上の歯8本の施術です。
術前は前歯にかなり強い変色が見られます。
ここまで強い変色はホワイトニングでは効果が乏しい。
でも、歯を削りたくない。
そんなご希望を叶える「削らないセラミック」
極薄のセラミックを歯の表面に貼り付けるだけ。
最短2回の施術で白く綺麗な歯並びになりました。
諦めるのはまだ早い。
むし歯や歯周病で歯を見せて笑えない。上手く噛めない。
歯並びがコンプレックスでマスクを外せない。
そんなお悩みをお持ちの方々を救います。
セラミック・マウスピース・インプラント・入れ歯など、あらゆる方法を駆使して笑顔を作ります。
ご予算含めたご希望に沿った治療をご提案します。
大阪 心斎橋・なんば・梅田からアクセス良好。
湘南歯科クリニック大阪心斎橋院へ。