症例写真(No.326659)

当院の症例写真は、画像処理により形や大きさをかえるような処理は一切おこなっておりません。

前田純(歯科) 医師

No.326659【美容歯科】前歯6本!ダイヤモンドオーダーセラミックでここまで美しい前歯に♪

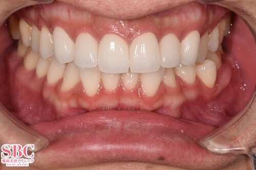
施術前

術前
→

施術後4ヶ月後

術後
すべての画像を見る

施術した院

部位

施術

施術回数

数量

性別

施術担当者からのコメント

30代
男性
上の前歯の歯並び、歯の色を改善したい。
上の歯6本のセラミック治療で美しい前歯に改善させていただきました♪

【セラミック治療とは】
・部分的に歯並びを整えることができる
・矯正器具を付けなくてよい
・矯正治療に比べ短期間で施術が完了する
・歯並びだけでなく、色、形、歯茎のラインも綺麗にする事が特徴です!

《ダイヤモンドセラミックの特徴》
★人工ダイヤモンドと呼ばれるジルコニアを使用し天然歯と同等の強度がある
★透明感があり審美的にも非常に美しい
★複雑な歯並びも改善する事ができる
★長年使っていても変色しない

是非一度、無料相談へお越しください! 一緒にお悩みを解決していきましょう!



×

当院におけるワクチン接種後の治療間隔(ガイドライン)

美容皮膚科、美容外科小手術

前後3日(手術日は含まず)、自覚する副反応がなければ可
安心麻酔を使用するものは接種後1週間は空ける

美容外科中、大手術

前後1週間
副反応が残っている場合は延期
接種部位と手術部位が同じ場合は2週間は空ける

×

お急ぎの方はお電話ください

0120-489-100

受付時間 / 10:00~23:00