美容外科・美容皮膚科・審美歯科なら湘南美容クリニック
電話予約・電話問い合わせ 10:00~22:45対応 番号を通知してお電話ください 0120-489-100
Instagram
LINE
YouTube
公式アプリ
美容皮膚科
あなたに最適な美容メンテナンスをサポートします!
二重整形
これを見たらあなたも思わず二重にしたくなる♡
医療ダイエット
医療ダイエットをしたらマイナス何センチ?リアルな結果を発信中!
若返り
年齢別・お悩み別で「今やるべき美容医療」がわかる美容医療メディア
クマ取り
クマ取り失敗したくない方必見!成功の秘訣満載★
脂肪吸引
美は武器!夜職女性のための美の総合メディア
予約・お問い合わせ
美容外科 MENU
Language
メインメニュー
診療内容一覧
料金一覧
クリニック案内
ドクター一覧
モニター募集
症例写真
よくある質問
当院が選ばれる理由
当院の症例写真は、画像処理により形や大きさをかえるような処理は一切おこなっておりません。
伊藤優(歯科) 医師
施術前
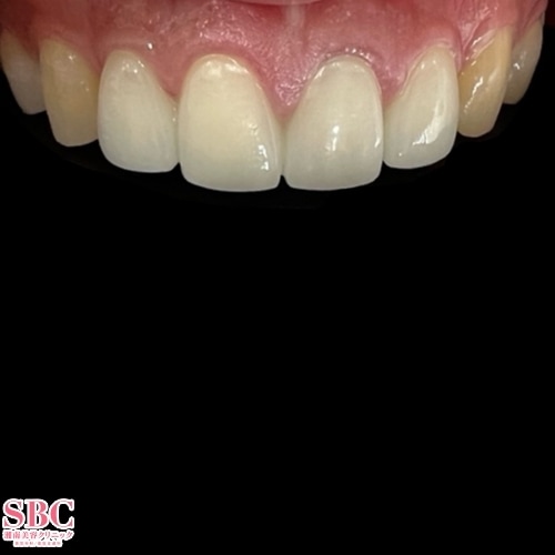
施術後3ヶ月後
施術した院
部位
施術
施術回数
数量
性別
上の前歯のすきっ歯でお悩みのお客様です。上の前歯4本をプレミアムダイヤモンドセラミックですきっ歯を改善し、自然な前歯に仕上げさせていただきました♪前歯2本だけで治すと隙間を埋めるために2本の歯それぞれの横幅が大きくなりバランスが崩れてしまうため、左右の2番目の歯も含め4本で治療することで自然なバランスに仕上げさせていただいてます。<セラミッククラウンの特徴>・天然の歯のように透明性のある美しい仕上がりになる。・歯のや形や白さを思い通りにでき、治療後の変色もない。・金属を使用しないため、金属アレルギーを起こすことがない。・歯肉となじみやすく、周辺の歯肉に悪影響を及ぼすことがない。・部分的な歯列矯正を短期間で行える
施術担当者からのコメント
上の前歯のすきっ歯でお悩みのお客様です。
上の前歯4本をプレミアムダイヤモンドセラミックですきっ歯を改善し、自然な前歯に仕上げさせていただきました♪
前歯2本だけで治すと隙間を埋めるために2本の歯それぞれの横幅が大きくなりバランスが崩れてしまうため、左右の2番目の歯も含め4本で治療することで自然なバランスに仕上げさせていただいてます。
<セラミッククラウンの特徴>
・天然の歯のように透明性のある美しい仕上がりになる。
・歯のや形や白さを思い通りにでき、治療後の変色もない。
・金属を使用しないため、金属アレルギーを起こすことがない。
・歯肉となじみやすく、周辺の歯肉に悪影響を及ぼすことがない。
・部分的な歯列矯正を短期間で行える