症例写真(No.330954)

当院の症例写真は、画像処理により形や大きさをかえるような処理は一切おこなっておりません。

竹本佳子(歯科) 医師

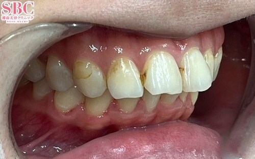
No.330954【美容歯科】【歯並び改善なら竹本佳子院長】インビザラインGO(上下) 20代女性/前歯の傾斜

施術前

前歯が傾斜していて出っ歯に見える><
→

施術後9ヶ月後

前歯の傾斜が無くなるだけでかなり印象変わりました★
すべての画像を見る

施術した院

部位

施術

施術回数

数量

性別

施術担当者からのコメント

綺麗になりましたね^^



×

当院におけるワクチン接種後の治療間隔(ガイドライン)

美容皮膚科、美容外科小手術

前後3日(手術日は含まず)、自覚する副反応がなければ可
安心麻酔を使用するものは接種後1週間は空ける

美容外科中、大手術

前後1週間
副反応が残っている場合は延期
接種部位と手術部位が同じ場合は2週間は空ける

×

お急ぎの方はお電話ください

0120-489-100

受付時間 / 10:00~23:00