美容外科・美容皮膚科・審美歯科なら湘南美容クリニック
電話予約・電話問い合わせ 10:00~22:45対応 番号を通知してお電話ください 0120-489-100
Instagram
LINE
YouTube
公式アプリ
美容皮膚科
あなたに最適な美容メンテナンスをサポートします!
二重整形
これを見たらあなたも思わず二重にしたくなる♡
医療ダイエット
医療ダイエットをしたらマイナス何センチ?リアルな結果を発信中!
若返り
年齢別・お悩み別で「今やるべき美容医療」がわかる美容医療メディア
クマ取り
クマ取り失敗したくない方必見!成功の秘訣満載★
脂肪吸引
美は武器!夜職女性のための美の総合メディア
予約・お問い合わせ
美容外科 MENU
Language
メインメニュー
診療内容一覧
料金一覧
クリニック案内
ドクター一覧
モニター募集
症例写真
よくある質問
当院が選ばれる理由
当院の症例写真は、画像処理により形や大きさをかえるような処理は一切おこなっておりません。
加藤由紀子(歯科) 医師
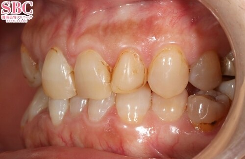
施術前
施術後4ヶ月後
施術した院
部位
施術
施術回数
数量
性別
今回のお客様は、過去に保険の虫歯治療を行なっておりました。虫歯治療で使用されていた『プラスチック素材』の経年変化により変色が見られるようになり、また歯を削ってプラスチックで埋める作業を繰り返すよりも『半永久的に白い歯をキープできるセラミック治療』をご提案させていただきました。上の歯6本、噛み合わせ調整のため下の歯は7本にてセラミックを入れ全顎的な治療を行いました。【ダイヤモンドオーダーセラミック】こんな方におすすめ・一生もののセラミックを手に入れたい・希望の歯並び、歯の色がある・細部まで徹底的にこだわりたい・最上級のセラミック治療を受けたい・天然歯に限りなく近い仕上がりにしたいセラミックは歯科医師と歯科技工士が連携して製作していきます。役割としてはお口に入るセラミッククラウンを作るのは歯科技工士、歯科医師は治療全体を見据えた上で方向性を決定します。つまり、クオリティの高い詰め物・かぶせ物は、いくら歯科医師が優秀だとしても作りだすことができないのです。セラミック治療では、歯科技工士の腕が非常に重要となります。【ダイヤモンドオーダーセラミックのポイント】・無数にある色調ガイドからお好みの色が選択可能色の選択は自由自在です。自然な色、極限まで真っ白な色など、どのような色でも対応できますので、あなたの好みの色が必ず見つかります。白さは自在に、さらに艶感、透明感もお好きなようにオーダーしていただけます。歯科医師によるカウンセリング・咬み合わせの設計・形成の技術が十分なのは言うまでもなく、歯の微妙な色や形は歯科技工士のデザインセンスが不可欠です。見た目に自然で美しい、誰が見ても天然の歯にしか見えない様な精度の人工歯を提供できるのが、ダイヤモンドオーダーセラミックです。・最短1日でオーダーメイドの仮歯にダイヤモンドオーダーセラミックは最短1日でキレイな仮歯に仕上がります。通常の場合、数回に分けてする治療を1回目に凝縮しておこなうことで、カウンセリング当日や治療1回目に美しいお口元が手に入るのが当院で行っているセラミック治療です。仮歯であっても見た目にこだわり、お客様のストレスをなるべく取り除けるよう努めております。
施術担当者からのコメント
今回のお客様は、過去に保険の虫歯治療を行なっておりました。
虫歯治療で使用されていた『プラスチック素材』の経年変化により変色が見られるようになり、また歯を削ってプラスチックで埋める作業を繰り返すよりも『半永久的に白い歯をキープできるセラミック治療』をご提案させていただきました。
上の歯6本、噛み合わせ調整のため下の歯は7本にてセラミックを入れ全顎的な治療を行いました。
【ダイヤモンドオーダーセラミック】
こんな方におすすめ
・一生もののセラミックを手に入れたい
・希望の歯並び、歯の色がある
・細部まで徹底的にこだわりたい
・最上級のセラミック治療を受けたい
・天然歯に限りなく近い仕上がりにしたい
セラミックは歯科医師と歯科技工士が連携して製作していきます。
役割としてはお口に入るセラミッククラウンを作るのは歯科技工士、歯科医師は治療全体を見据えた上で方向性を決定します。
つまり、クオリティの高い詰め物・かぶせ物は、いくら歯科医師が優秀だとしても作りだすことができないのです。
セラミック治療では、歯科技工士の腕が非常に重要となります。
【ダイヤモンドオーダーセラミックのポイント】
・無数にある色調ガイドからお好みの色が選択可能
色の選択は自由自在です。
自然な色、極限まで真っ白な色など、どのような色でも対応できますので、あなたの好みの色が必ず見つかります。
白さは自在に、さらに艶感、透明感もお好きなようにオーダーしていただけます。
歯科医師によるカウンセリング・咬み合わせの設計・形成の技術が十分なのは言うまでもなく、歯の微妙な色や形は歯科技工士のデザインセンスが不可欠です。見た目に自然で美しい、誰が見ても天然の歯にしか見えない様な精度の人工歯を提供できるのが、ダイヤモンドオーダーセラミックです。
・最短1日でオーダーメイドの仮歯に
ダイヤモンドオーダーセラミックは最短1日でキレイな仮歯に仕上がります。
通常の場合、数回に分けてする治療を1回目に凝縮しておこなうことで、カウンセリング当日や治療1回目に美しいお口元が手に入るのが当院で行っているセラミック治療です。
仮歯であっても見た目にこだわり、お客様のストレスをなるべく取り除けるよう努めております。