お急ぎの方はお電話ください
WEB予約
メンズ専用
LINE登録
オンラインストア
SBC公式アプリ
SBC 採用サイト
医療機関検索サイトアイメッド
定額制セルフエステ
当院の症例写真は、画像処理により形や大きさをかえるような処理は一切おこなっておりません。
清水春花 医師
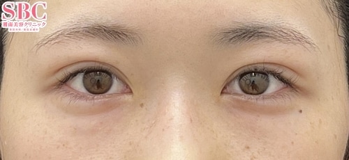
施術前
施術後1ヶ月後
施術した院
部位
施術
施術回数
数量
性別
まつが上向きになりより目元がくっきりしてメイクもしやすくなるため、まつ毛の生え際が見えるかどうかはデザインの際に一番こだわっている部分です。なりたい二重の形・幅が目元にあうのか、細かくシミュレーションしながら最適なデザインをきめております。まつ毛のキワ見え二重ならお任せください!
前後3日(手術日は含まず)、自覚する副反応がなければ可安心麻酔を使用するものは接種後1週間は空ける
前後1週間副反応が残っている場合は延期接種部位と手術部位が同じ場合は2週間は空ける
0120-489-100
受付時間 / 10:00~23:00
施術担当者からのコメント
まつが上向きになりより目元がくっきりしてメイクもしやすくなるため、まつ毛の生え際が見えるかどうかはデザインの際に一番こだわっている部分です。
なりたい二重の形・幅が目元にあうのか、細かくシミュレーションしながら最適なデザインをきめております。
まつ毛のキワ見え二重ならお任せください!