美容外科・美容皮膚科・審美歯科なら湘南美容クリニック
電話予約・電話問い合わせ 10:00~22:45対応 番号を通知してお電話ください 0120-489-100
Instagram
LINE
YouTube
公式アプリ
美容皮膚科
あなたに最適な美容メンテナンスをサポートします!
二重整形
これを見たらあなたも思わず二重にしたくなる♡
医療ダイエット
医療ダイエットをしたらマイナス何センチ?リアルな結果を発信中!
若返り
年齢別・お悩み別で「今やるべき美容医療」がわかる美容医療メディア
クマ取り
クマ取り失敗したくない方必見!成功の秘訣満載★
脂肪吸引
美は武器!夜職女性のための美の総合メディア
予約・お問い合わせ
美容外科 MENU
Language
メインメニュー
診療内容一覧
料金一覧
クリニック案内
ドクター一覧
モニター募集
症例写真
よくある質問
当院が選ばれる理由
当院の症例写真は、画像処理により形や大きさをかえるような処理は一切おこなっておりません。
加瀬令奈(歯科) 医師
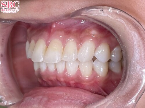
施術前
施術後5ヶ月後
施術した院
部位
施術
施術回数
数量
性別
★☆!!2023年 SBCアワードMVP受賞!!☆★ ☆★☆!!2024年 SBCアワードMVP受賞!!☆★☆!!2022年上半期 インビザラインライト 全国症例数NO.1 !!!!2023年下半期 湘南マウスピース 全国症例数NO.1!!に表彰されました。 ありがとうございます。マウスピース矯正なら“れいな先生”【マウスピースもセラミックもできるからこそ、ベストな治療を提案できる強み】【圧倒的な症例数で、貴方の悩みにピンポイントで寄り添う】【予算内や期間内での治療に心がける】【わかりやすい説明と女医ならでは目線】【矯正経験者だからわかる!痛みや治療への配慮】インビザラインexpressインビザラインgoインビザラインlightインビザラインmoderateインビザラインfull湘南マウスピースクリアコレクト湘南美容クリニックなら多数のマウスピース取り扱いあり!貴方にあったメニューでご提案可能!☆instagramにて症例多数掲載中☆@sbc_reinaで検索!ーーーーーーーーーーーーーーーーーーーーーー湘南歯科 新宿院加瀬令奈ご予約は→0120-548-908時間なのか、費用なのか、完成度なのか、ダウンタイムなのか人によって選ぶポイントは様々ぜひ無料カウンセリングにお越しください♪
施術担当者からのコメント
★☆!!2023年 SBCアワードMVP受賞!!☆★
☆★☆!!2024年 SBCアワードMVP受賞!!☆★☆
!!2022年上半期 インビザラインライト 全国症例数NO.1 !!
!!2023年下半期 湘南マウスピース 全国症例数NO.1!!
に表彰されました。
ありがとうございます。
マウスピース矯正なら“れいな先生”
【マウスピースもセラミックもできるからこそ、ベストな治療を提案できる強み】
【圧倒的な症例数で、貴方の悩みにピンポイントで寄り添う】
【予算内や期間内での治療に心がける】
【わかりやすい説明と女医ならでは目線】
【矯正経験者だからわかる!痛みや治療への配慮】
インビザラインexpress
インビザラインgo
インビザラインlight
インビザラインmoderate
インビザラインfull
湘南マウスピース
クリアコレクト
湘南美容クリニックなら多数のマウスピース取り扱いあり!
貴方にあったメニューでご提案可能!
☆instagramにて症例多数掲載中☆
@sbc_reinaで検索!
ーーーーーーーーーーーーーーーーーーーーーー
湘南歯科 新宿院
加瀬令奈
ご予約は→0120-548-908
時間なのか、費用なのか、完成度なのか、ダウンタイムなのか
人によって選ぶポイントは様々
ぜひ無料カウンセリングにお越しください♪