症例写真(No.339275)

当院の症例写真は、画像処理により形や大きさをかえるような処理は一切おこなっておりません。

伊藤優(歯科) 医師

No.339275【美容歯科】上の前歯の出っ歯、並びと色を改善!!プレミアムダイヤモンドセラミック6本で自然な美しさへ

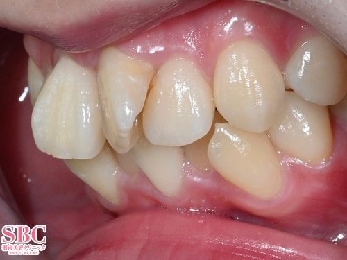
施術前

上の前歯の出っ歯、並びと色でお悩みのお客様です
→

施術後1ヶ月後

上の前歯6本をセラミックで白く自然な美しさへ
すべての画像を見る

施術した院

部位

施術

施術回数

数量

性別

施術担当者からのコメント

上の前歯の出っ歯、形と色を改善し、バランスよく、綺麗にしたいとご希望のお客様です。
上の歯6本をプレミアムダイヤモンドセラミックで白く、美しく改善させていただきました♪

<セラミッククラウンの特徴>

・天然の歯のように透明性のある美しい仕上がりになる。
・歯のや形や白さを思い通りにでき、治療後の変色もない。
・金属を使用しないため、金属アレルギーを起こすことがない。
・歯肉となじみやすく、周辺の歯肉に悪影響を及ぼすことがない。
・部分的な歯列矯正を短期間で行える。

歯並びや金属入りの差し歯や被せ物、虫歯などでお悩みの方、是非一度無料カウンセリンクへお越しください♪



×

当院におけるワクチン接種後の治療間隔(ガイドライン)

美容皮膚科、美容外科小手術

前後3日(手術日は含まず)、自覚する副反応がなければ可
安心麻酔を使用するものは接種後1週間は空ける

美容外科中、大手術

前後1週間
副反応が残っている場合は延期
接種部位と手術部位が同じ場合は2週間は空ける

×

お急ぎの方はお電話ください

0120-489-100

受付時間 / 10:00~23:00