お急ぎの方はお電話ください
WEB予約
メンズ専用
LINE登録
オンラインストア
SBC公式アプリ
SBC 採用サイト
医療機関検索サイトアイメッド
定額制セルフエステ
当院の症例写真は、画像処理により形や大きさをかえるような処理は一切おこなっておりません。
加瀬令奈(歯科) 医師
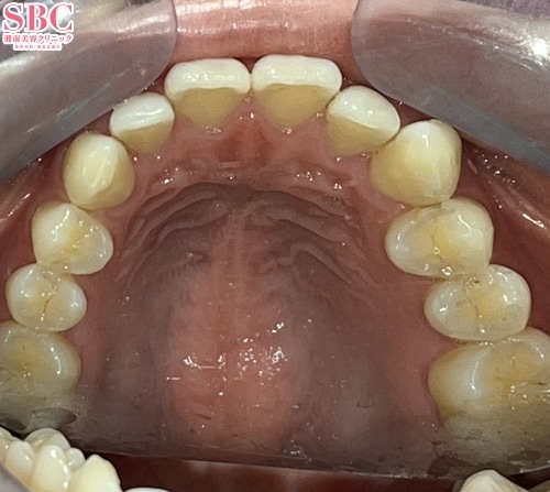
施術前
施術後6ヶ月後
施術した院
部位
施術
施術回数
数量
性別
こちらの症例はインビザライン・ゴー両顎の症例になります(抜歯なし)前歯のがたつき・ねじれを整えました噛み合わせが正常であれば部分矯正でもしっかりお治療できますまた、マウスピース矯正中にホームホワイトニングを併用することで、歯の白さも得られました☆★☆!!2023年 SBCアワードMVP受賞!!☆★ ☆★☆!!2024年 SBCアワードMVP受賞!!☆★☆!!2022年上半期 インビザラインライト 全国症例数NO.1 !!!!2023年下半期 湘南マウスピース 全国症例数NO.1!!に表彰されました。 ありがとうございます。マウスピース矯正なら“れいな先生”【マウスピースもセラミックもできるからこそ、ベストな治療を提案できる強み】【圧倒的な症例数で、貴方の悩みにピンポイントで寄り添う】【予算やご要望に対する高評価・カウンセリング力】【わかりやすい説明と女医ならでは目線】【当院での矯正経験者だからわかる!治療への配慮】【明るさが自慢!話しやすい雰囲気で楽しい矯正生活を】インビザラインexpressインビザラインgoインビザラインlightインビザラインmoderateインビザラインfull湘南マウスピースクリアコレクト湘南美容クリニックなら多数のマウスピース取り扱いあり!貴方にあったメニューでご提案可能!☆instagramにて症例多数掲載中☆@sbc_reinaで検索!ーーーーーーーーーーーーーーーーーーーーーー湘南歯科クリニック加瀬令奈ご予約は→0120-548-908時間なのか、費用なのか、完成度なのか、ダウンタイムなのか人によって選ぶポイントは様々ぜひ無料カウンセリングにお越しください♪
前後3日(手術日は含まず)、自覚する副反応がなければ可安心麻酔を使用するものは接種後1週間は空ける
前後1週間副反応が残っている場合は延期接種部位と手術部位が同じ場合は2週間は空ける
0120-489-100
受付時間 / 10:00~23:00
施術担当者からのコメント
こちらの症例はインビザライン・ゴー両顎の症例になります(抜歯なし)
前歯のがたつき・ねじれを整えました
噛み合わせが正常であれば部分矯正でもしっかりお治療できます
また、マウスピース矯正中にホームホワイトニングを併用することで、歯の白さも得られました☆
★☆!!2023年 SBCアワードMVP受賞!!☆★
☆★☆!!2024年 SBCアワードMVP受賞!!☆★☆
!!2022年上半期 インビザラインライト 全国症例数NO.1 !!
!!2023年下半期 湘南マウスピース 全国症例数NO.1!!
に表彰されました。
ありがとうございます。
マウスピース矯正なら“れいな先生”
【マウスピースもセラミックもできるからこそ、ベストな治療を提案できる強み】
【圧倒的な症例数で、貴方の悩みにピンポイントで寄り添う】
【予算やご要望に対する高評価・カウンセリング力】
【わかりやすい説明と女医ならでは目線】
【当院での矯正経験者だからわかる!治療への配慮】
【明るさが自慢!話しやすい雰囲気で楽しい矯正生活を】
インビザラインexpress
インビザラインgo
インビザラインlight
インビザラインmoderate
インビザラインfull
湘南マウスピース
クリアコレクト
湘南美容クリニックなら多数のマウスピース取り扱いあり!
貴方にあったメニューでご提案可能!
☆instagramにて症例多数掲載中☆
@sbc_reinaで検索!
ーーーーーーーーーーーーーーーーーーーーーー
湘南歯科クリニック
加瀬令奈
ご予約は→0120-548-908
時間なのか、費用なのか、完成度なのか、ダウンタイムなのか
人によって選ぶポイントは様々
ぜひ無料カウンセリングにお越しください♪