症例写真(No.340185)

当院の症例写真は、画像処理により形や大きさをかえるような処理は一切おこなっておりません。

加瀬令奈(歯科) 医師

No.340185【美容歯科】【れいな先生】ガミースマイルも!バッカルコリドーも!DRれいなならここまで改善します☆【マウスピース矯正】

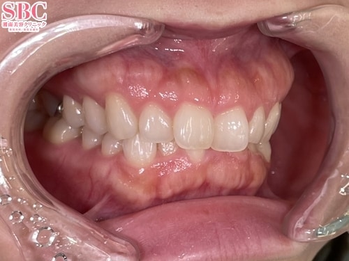
施術前

全体的に整えたいとのご希望
→

施術後9ヶ月後

歯のラインが整い笑顔が美しく大変身!
すべての画像を見る

施術した院

部位

施術

施術回数

数量

性別

施術担当者からのコメント

こちらの症例はインビザライン・モデレート両顎の症例になります(親知らずのみ抜歯)
全体的な歯のずれを整え、ラインを揃えました
揃ったことで、上の歯茎が見えにくくなり、ガミースマイルが改善。
また、内向きに倒れた歯を起こしバッカルコリドーの幅を小さく見せることで笑顔が格段に綺麗になりました☆

★☆!!2023年 SBCアワードMVP受賞!!☆★
  ☆★☆!!2024年 SBCアワードMVP受賞!!☆★☆
!!2022年上半期 インビザラインライト 全国症例数NO.1 !!
!!2023年下半期 湘南マウスピース   全国症例数NO.1!!

に表彰されました。 
ありがとうございます。

マウスピース矯正なら“れいな先生”

【マウスピースもセラミックもできるからこそ、ベストな治療を提案できる強み】
【圧倒的な症例数で、貴方の悩みにピンポイントで寄り添う】
【予算やご要望に対する高評価・カウンセリング力】
【わかりやすい説明と女医ならでは目線】
【当院での矯正経験者だからわかる!治療への配慮】
【明るさが自慢!話しやすい雰囲気で楽しい矯正生活を】

インビザラインexpress
インビザラインgo
インビザラインlight
インビザラインmoderate
インビザラインfull
湘南マウスピース
クリアコレクト

湘南美容クリニックなら多数のマウスピース取り扱いあり!

貴方にあったメニューでご提案可能!

☆instagramにて症例多数掲載中☆
@sbc_reinaで検索!

ーーーーーーーーーーーーーーーーーーーーーー
湘南歯科クリニック
加瀬令奈

ご予約は→0120-548-908

時間なのか、費用なのか、完成度なのか、ダウンタイムなのか
人によって選ぶポイントは様々
ぜひ無料カウンセリングにお越しください♪



×

当院におけるワクチン接種後の治療間隔(ガイドライン)

美容皮膚科、美容外科小手術

前後3日(手術日は含まず)、自覚する副反応がなければ可
安心麻酔を使用するものは接種後1週間は空ける

美容外科中、大手術

前後1週間
副反応が残っている場合は延期
接種部位と手術部位が同じ場合は2週間は空ける

×

お急ぎの方はお電話ください

0120-489-100

受付時間 / 10:00~23:00