美容外科・美容皮膚科・審美歯科なら湘南美容クリニック
電話予約・電話問い合わせ 10:00~22:45対応 番号を通知してお電話ください 0120-489-100
Instagram
LINE
YouTube
公式アプリ
美容皮膚科
あなたに最適な美容メンテナンスをサポートします!
二重整形
これを見たらあなたも思わず二重にしたくなる♡
医療ダイエット
医療ダイエットをしたらマイナス何センチ?リアルな結果を発信中!
若返り
年齢別・お悩み別で「今やるべき美容医療」がわかる美容医療メディア
クマ取り
クマ取り失敗したくない方必見!成功の秘訣満載★
脂肪吸引
美は武器!夜職女性のための美の総合メディア
予約・お問い合わせ
美容外科 MENU
Language
メインメニュー
診療内容一覧
料金一覧
クリニック案内
ドクター一覧
モニター募集
症例写真
よくある質問
当院が選ばれる理由
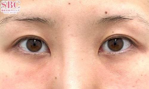
当院の症例写真は、画像処理により形や大きさをかえるような処理は一切おこなっておりません。
小竹将 医師
施術前
施術後3ヶ月後
施術した院
部位
施術
施術回数
数量
性別
熊谷院の小竹です。小竹が選ばれるのには訳があります1: メスと針を使って11年目、技術力の差と指先の感覚に自信あり2: 外来を10年以上行った経験による、丁寧で分かりやすい寄り添ったカウンセリング3: 人の命を扱ってきた責任からの丁寧なアフターフォロー4: 他の治療でリピートして下さる満足感目の下のふくらみの原因である「眼窩脂肪(がんかしぼう)」を移動させて、整える治療です。目の下のクマ・たるみ(ふくらみ)は、眼窩脂肪という、眼球を支えている脂肪が前方に突出してくることで生じます。膨らんでいる部分からくぼんでいる部分に眼窩脂肪を移動させることで、膨らみと溝を同時に改善し、フラットな状態にすることができるため、眼窩脂肪を切り離すことなくクマを改善することができるのでおすすめな施術です。
施術担当者からのコメント
熊谷院の小竹です。
小竹が選ばれるのには訳があります
1: メスと針を使って11年目、技術力の差と指先の感覚に自信あり
2: 外来を10年以上行った経験による、丁寧で分かりやすい寄り添ったカウンセリング
3: 人の命を扱ってきた責任からの丁寧なアフターフォロー
4: 他の治療でリピートして下さる満足感
目の下のふくらみの原因である「眼窩脂肪(がんかしぼう)」を移動させて、整える治療です。
目の下のクマ・たるみ(ふくらみ)は、眼窩脂肪という、眼球を支えている脂肪が前方に突出してくることで生じます。
膨らんでいる部分からくぼんでいる部分に眼窩脂肪を移動させることで、膨らみと溝を同時に改善し、フラットな状態にすることができるため、眼窩脂肪を切り離すことなくクマを改善することができるのでおすすめな施術です。