美容外科・美容皮膚科・審美歯科なら湘南美容クリニック
電話予約・電話問い合わせ 10:00~22:45対応 番号を通知してお電話ください 0120-489-100
Instagram
LINE
YouTube
公式アプリ
美容皮膚科
あなたに最適な美容メンテナンスをサポートします!
二重整形
これを見たらあなたも思わず二重にしたくなる♡
医療ダイエット
医療ダイエットをしたらマイナス何センチ?リアルな結果を発信中!
若返り
年齢別・お悩み別で「今やるべき美容医療」がわかる美容医療メディア
クマ取り
クマ取り失敗したくない方必見!成功の秘訣満載★
脂肪吸引
美は武器!夜職女性のための美の総合メディア
予約・お問い合わせ
美容外科 MENU
Language
メインメニュー
診療内容一覧
料金一覧
クリニック案内
ドクター一覧
モニター募集
症例写真
よくある質問
当院が選ばれる理由
当院の症例写真は、画像処理により形や大きさをかえるような処理は一切おこなっておりません。
佐々木愛子 医師
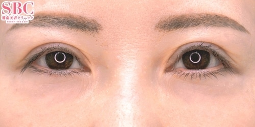
施術前
施術後3ヶ月後
施術した院
部位
施術
施術回数
数量
性別
★2024年上期 【切開二重&眼瞼下垂】SBC内症例数 全国女医No.1★目元切開ならあいこ先生にお任せください!【今回のメニュー】・たるみ取り併用全切開二重術・眼瞼下垂今回は他院で二重整形をしたら、目の開きに左右差があり二重自体にも左右差ができてしまったという女性のお客様です。眼瞼下垂で左目の開きを調整し、どちらも同じ具合に目が開くように微調整をしています!さらに二重を一緒に作ることでぱっちりしたお目元になりましたね!==========================【たるみ取り併用全切開法二重術とは】皮膚を切開したのち、たるみの原因となっている余剰皮膚を切除します。まぶたのたるみをスッキリさせつつ二重を作りたい方、二重が取れる心配をしたくない方にはこの方法がおすすめです。埋没法ではラインがすぐに取れてしまう方や、二重が取れる心配をしたくない方にはこの方法がおすすめです。==========================【眼瞼下垂とは】皮膚まぶたを切開し、瞼板から挙筋をはずして縫い縮め、引き上げる力をより強くする方法です。この治療はまぶたを切開し、瞼板から挙筋をはずして縫い縮め、まぶたを開く力をより強くする方法です。★instagram絶賛更新中★【佐々木医師担当】@sbc_aikosasakiインスタグラムではリアルタイムで沢山の症例写真や施術動画をあげています!≪下の「instagram」アイコンからも飛べます≫
施術担当者からのコメント
★2024年上期 【切開二重&眼瞼下垂】SBC内症例数 全国女医No.1★
目元切開ならあいこ先生にお任せください!
【今回のメニュー】
・たるみ取り併用全切開二重術
・眼瞼下垂
今回は他院で二重整形をしたら、目の開きに左右差があり二重自体にも左右差ができてしまったという女性のお客様です。
眼瞼下垂で左目の開きを調整し、どちらも同じ具合に目が開くように微調整をしています!
さらに二重を一緒に作ることでぱっちりしたお目元になりましたね!
==========================
【たるみ取り併用全切開法二重術とは】
皮膚を切開したのち、たるみの原因となっている余剰皮膚を切除します。
まぶたのたるみをスッキリさせつつ二重を作りたい方、二重が取れる心配をしたくない方にはこの方法がおすすめです。
埋没法ではラインがすぐに取れてしまう方や、二重が取れる心配をしたくない方にはこの方法がおすすめです。
==========================
【眼瞼下垂とは】
皮膚まぶたを切開し、瞼板から挙筋をはずして縫い縮め、引き上げる力をより強くする方法です。
この治療はまぶたを切開し、瞼板から挙筋をはずして縫い縮め、まぶたを開く力をより強くする方法です。
★instagram絶賛更新中★
【佐々木医師担当】
@sbc_aikosasaki
インスタグラムではリアルタイムで沢山の症例写真や
施術動画をあげています!
≪下の「instagram」アイコンからも飛べます≫