美容外科・美容皮膚科・審美歯科なら湘南美容クリニック
電話予約・電話問い合わせ 10:00~22:45対応 番号を通知してお電話ください 0120-489-100
Instagram
LINE
YouTube
公式アプリ
美容皮膚科
あなたに最適な美容メンテナンスをサポートします!
二重整形
これを見たらあなたも思わず二重にしたくなる♡
医療ダイエット
医療ダイエットをしたらマイナス何センチ?リアルな結果を発信中!
若返り
年齢別・お悩み別で「今やるべき美容医療」がわかる美容医療メディア
クマ取り
クマ取り失敗したくない方必見!成功の秘訣満載★
脂肪吸引
美は武器!夜職女性のための美の総合メディア
予約・お問い合わせ
美容外科 MENU
Language
メインメニュー
診療内容一覧
料金一覧
クリニック案内
ドクター一覧
モニター募集
症例写真
よくある質問
当院が選ばれる理由
当院の症例写真は、画像処理により形や大きさをかえるような処理は一切おこなっておりません。
高川裕也 医師
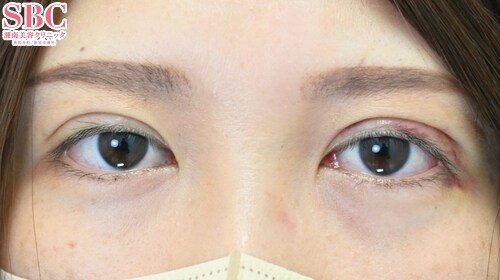
施術前
施術後1ヶ月後
施術した院
部位
施術
施術回数
数量
性別
湘南美容クリニック名古屋駅本院高川裕也です。今日は僕の二重整形の症例をご紹介いたします。二重のりによる瞼のたるみがありましたが、埋没法で綺麗に改善!切れ長のお目元に合わせて幅は広げすぎず、綺麗なお目元に★クイックコスメティークシリーズとは?瞼の表面に全く傷が付かず、結び目が気にならない、当日からお化粧が可能、また腫れも最小限、持ちもいい という特徴を持つ、医学的には経結膜的埋没法重瞼術(二重術)と言う画期的な埋没法です。--------------------------------------------★二重で高川が選ばれる理由1、2020年度お客様満足度No.1で安心感がある2、仕上がりが綺麗3、ご提案出来る術式が多い二重整形の総執刀数16,000件以上のベテランドクターだからこそです!4、知り合いも高川でオペしてるから紹介でのご指名も多数★最新の実績はこちら【名古屋】埋没法でおすすめのクリニック湘南美容外科クリニック名古屋駅本院の高川裕也院長について選ばれてデカ目症例数全国1位!2016年~2024年上半期 sbc内中部地区クイックコスメティーク・埋没法症例数第1位!2015年~2024年上半期 sbc内この度二重整形の「厳選医師」に選ばれました★厳選医師とは...SBCの二重埋没法を担う14名の厳選されたドクターです。クイックコスメティーク執刀数4000件以上の経験を持つ14名の限られた医師です。圧倒的な経験と技術力で一人ひとりの美しさを最大限引き出し、自然で美しく、耐久性の高い仕上がりを最小限のダウンタイムで実現します。--------------------------------------------
施術担当者からのコメント
湘南美容クリニック名古屋駅本院高川裕也です。
今日は僕の二重整形の症例をご紹介いたします。
二重のりによる瞼のたるみがありましたが、埋没法で綺麗に改善!切れ長のお目元に合わせて幅は広げすぎず、綺麗なお目元に★
クイックコスメティークシリーズとは?
瞼の表面に全く傷が付かず、結び目が気にならない、当日からお化粧が可能、また腫れも最小限、持ちもいい という特徴を持つ、医学的には経結膜的埋没法重瞼術(二重術)と言う画期的な埋没法です。
--------------------------------------------
★二重で高川が選ばれる理由
1、2020年度お客様満足度No.1で安心感がある
2、仕上がりが綺麗
3、ご提案出来る術式が多い
二重整形の総執刀数16,000件以上のベテランドクターだからこそです!
4、知り合いも高川でオペしてるから
紹介でのご指名も多数
★最新の実績はこちら
【名古屋】埋没法でおすすめのクリニック
湘南美容外科クリニック名古屋駅本院の高川裕也院長について
選ばれてデカ目症例数全国1位!2016年~2024年上半期 sbc内
中部地区クイックコスメティーク・埋没法症例数第1位!2015年~2024年上半期 sbc内
この度二重整形の「厳選医師」に選ばれました★
厳選医師とは...
SBCの二重埋没法を担う14名の厳選されたドクターです。
クイックコスメティーク執刀数4000件以上の経験を持つ
14名の限られた医師です。
圧倒的な経験と技術力で一人ひとりの美しさを最大限引き出し、
自然で美しく、耐久性の高い仕上がりを最小限のダウンタイムで実現します。
--------------------------------------------