美容外科・美容皮膚科・審美歯科なら湘南美容クリニック
電話予約・電話問い合わせ 10:00~22:45対応 番号を通知してお電話ください 0120-489-100
Instagram
LINE
YouTube
公式アプリ
美容皮膚科
あなたに最適な美容メンテナンスをサポートします!
二重整形
これを見たらあなたも思わず二重にしたくなる♡
医療ダイエット
医療ダイエットをしたらマイナス何センチ?リアルな結果を発信中!
若返り
年齢別・お悩み別で「今やるべき美容医療」がわかる美容医療メディア
クマ取り
クマ取り失敗したくない方必見!成功の秘訣満載★
脂肪吸引
美は武器!夜職女性のための美の総合メディア
予約・お問い合わせ
美容外科 MENU
Language
メインメニュー
診療内容一覧
料金一覧
クリニック案内
ドクター一覧
モニター募集
症例写真
よくある質問
当院が選ばれる理由
当院の症例写真は、画像処理により形や大きさをかえるような処理は一切おこなっておりません。
野水隆太郎 医師
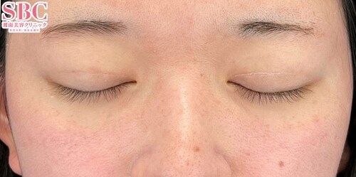
施術前
施術後1週間後
施術した院
部位
施術
施術回数
数量
性別
■モニターのお客様クイックコスメティークNeoをうけられた10代のお客様の症例です。施術後は内出血もほぼなく自然な仕上がりになりました。仕上がりが綺麗でご本人もとても満足されていました。満足度の高い仕上がりでモニター様のアンケートでも満点をいただいています。ダウンタイムが少なく、きれいな仕上がりを求めるならDr.野水に一度ご相談ください。-----------------------------------------------------------------------------------野水医師の丁寧なデザイン、圧倒的なセンス、でダウンタイムも短く美しく仕上げます!施術を受けて頂いたお客様からはいつもご満足いただき感謝の言葉をいただけます。モニター様の術後アンケートでもいつも満点の評価をいただいています!私は美容医療で外見が変わることで自信を持ち、自信のある表情から周りの評価が変化し、好循環を生むことを信じて毎日全力で美容医療に取り組んでいます。たったの15分で人生が変わります!!一緒に理想的な二重を作りましょう!!お得なモニター様も募集しております。お気軽に無料カウンセリングにお越しください♪
施術担当者からのコメント
■モニターのお客様
クイックコスメティークNeoをうけられた10代のお客様の症例です。
施術後は内出血もほぼなく自然な仕上がりになりました。仕上がりが綺麗でご本人もとても満足されていました。
満足度の高い仕上がりでモニター様のアンケートでも満点をいただいています。
ダウンタイムが少なく、きれいな仕上がりを求めるならDr.野水に一度ご相談ください。
-----------------------------------------------------------------------------------
野水医師の丁寧なデザイン、圧倒的なセンス、でダウンタイムも短く美しく仕上げます!
施術を受けて頂いたお客様からはいつもご満足いただき感謝の言葉をいただけます。
モニター様の術後アンケートでもいつも満点の評価をいただいています!
私は美容医療で外見が変わることで自信を持ち、自信のある表情から周りの評価が変化し、好循環を生むことを信じて毎日全力で美容医療に取り組んでいます。
たったの15分で人生が変わります!!一緒に理想的な二重を作りましょう!!
お得なモニター様も募集しております。
お気軽に無料カウンセリングにお越しください♪