お急ぎの方はお電話ください
WEB予約
メンズ専用
LINE登録
オンラインストア
SBC公式アプリ
SBC 採用サイト
医療機関検索サイトアイメッド
定額制セルフエステ
当院の症例写真は、画像処理により形や大きさをかえるような処理は一切おこなっておりません。
伊藤優(歯科) 医師
施術前
施術後1ヶ月後
施術した院
部位
施術
施術回数
数量
性別
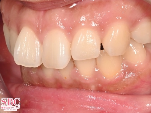
上の前歯の捩れでお悩みのお客様です。上の前歯2本を色、形の美しく整った白く綺麗な前歯に改善させていただきました♪<セラミッククラウンの特徴>・天然の歯のように透明性のある美しい仕上がりになる。・歯のや形や白さを思い通りにでき、治療後の変色もない。・金属を使用しないため、金属アレルギーを起こすことがない。・歯肉となじみやすく、周辺の歯肉に悪影響を及ぼすことがない。・部分的な歯列矯正を短期間で行える。
前後3日(手術日は含まず)、自覚する副反応がなければ可安心麻酔を使用するものは接種後1週間は空ける
前後1週間副反応が残っている場合は延期接種部位と手術部位が同じ場合は2週間は空ける
0120-489-100
受付時間 / 10:00~23:00
施術担当者からのコメント
上の前歯の捩れでお悩みのお客様です。
上の前歯2本を色、形の美しく整った白く綺麗な前歯に改善させていただきました♪
<セラミッククラウンの特徴>
・天然の歯のように透明性のある美しい仕上がりになる。
・歯のや形や白さを思い通りにでき、治療後の変色もない。
・金属を使用しないため、金属アレルギーを起こすことがない。
・歯肉となじみやすく、周辺の歯肉に悪影響を及ぼすことがない。
・部分的な歯列矯正を短期間で行える。