症例写真(No.346562)

当院の症例写真は、画像処理により形や大きさをかえるような処理は一切おこなっておりません。

北川哲太郎(歯科) 医師

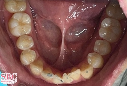
No.346562【美容歯科】インビザラインGOで前歯のガタツキを改善

施術前

前歯のガタツキがお悩みで、部分矯正で治療をご希望。
→

施術後7ヶ月後

約半年で並びが整いました。
すべての画像を見る

施術した院

部位

施術

施術回数

数量

性別

施術担当者からのコメント

千葉にくる価値あり!仕上がりの美しさで選ばれてます!

自分ではどうにもならない歯の悩みを経験豊富な北川歯科医師が解消致します!

お顔全体のバランスを大事にしながら、貴方にピッタリの歯並びをご提案!

美容歯科医歴約10年の圧倒的症例数★
細やかな施術と綺麗な仕上がりで指名多数!
お客様のご希望と、長年培ってきた豊富な知識と経験、技術を掛け合わせて一緒にお悩みを解決致します。

丁寧なカウンセリングとスムーズな施術も人気です。
まずは、お悩みを聞かせて下さい。ご予約お待ちしています。



×

当院におけるワクチン接種後の治療間隔(ガイドライン)

美容皮膚科、美容外科小手術

前後3日(手術日は含まず)、自覚する副反応がなければ可
安心麻酔を使用するものは接種後1週間は空ける

美容外科中、大手術

前後1週間
副反応が残っている場合は延期
接種部位と手術部位が同じ場合は2週間は空ける

×

お急ぎの方はお電話ください

0120-489-100

受付時間 / 10:00~23:00