美容外科・美容皮膚科・審美歯科なら湘南美容クリニック
電話予約・電話問い合わせ 10:00~22:45対応 番号を通知してお電話ください 0120-489-100
Instagram
LINE
YouTube
公式アプリ
美容皮膚科
あなたに最適な美容メンテナンスをサポートします!
二重整形
これを見たらあなたも思わず二重にしたくなる♡
医療ダイエット
医療ダイエットをしたらマイナス何センチ?リアルな結果を発信中!
若返り
年齢別・お悩み別で「今やるべき美容医療」がわかる美容医療メディア
クマ取り
クマ取り失敗したくない方必見!成功の秘訣満載★
脂肪吸引
美は武器!夜職女性のための美の総合メディア
予約・お問い合わせ
美容外科 MENU
Language
メインメニュー
診療内容一覧
料金一覧
クリニック案内
ドクター一覧
モニター募集
症例写真
よくある質問
当院が選ばれる理由
当院の症例写真は、画像処理により形や大きさをかえるような処理は一切おこなっておりません。
大久保樹 医師
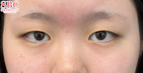
施術前
施術後1ヶ月後
施術した院
部位
施術
施術回数
数量
性別
皆様こんにちは!!!フォトギャラリーをご覧いただきありがとうございます。フォーエバー二重術の施術です。術後1カ月経過のお写真です。まつ毛が綺麗すぎるナチュラルな末広二重を実現いたしました。1カ月後の経過をご覧ください。二重幅の完成はおおよそ一か月と言われておりますがお客様の日常生活にも支障がないように、ダウンタイムを最大限に短縮できるよう施術を工夫して行っております。千葉センシティ院では現在お得なモニター様を募集しております。自分の施術を受けて良かったと言って貰えることだけではなく、皆さんに自信をもっていただき「マイナスな思い」を少しでも減らしてより一層笑顔になっていただくことを目標としております。ぜひ綺麗になることのお手伝いを一緒にさせてください。些細な悩み、気になったことがあればなんでも仰ってください。執刀医 千葉センシティ院 大久保 樹湘南美容クリニック 千葉センシティ院 TEL0120-955-559------★大久保先生インスタグラム・TikTokはコチラ★------Instagramも随時更新中!ぜひご参考にしてください☆小顔・二の腕治療→@sbc_t.okubo二重・クマ取り治療→@sbc_t.okubo_eyeTikTok:@sbc_t.okubo---------------------------------------------------------------
施術担当者からのコメント
皆様こんにちは!!!
フォトギャラリーをご覧いただきありがとうございます。
フォーエバー二重術の施術です。
術後1カ月経過のお写真です。
まつ毛が綺麗すぎるナチュラルな末広二重を実現いたしました。
1カ月後の経過をご覧ください。二重幅の完成はおおよそ一か月と言われておりますが
お客様の日常生活にも支障がないように、ダウンタイムを最大限に短縮できるよう施術を工夫して行っております。
千葉センシティ院では現在お得なモニター様を募集しております。
自分の施術を受けて良かったと言って貰えることだけではなく、
皆さんに自信をもっていただき「マイナスな思い」を少しでも減らして
より一層笑顔になっていただくことを目標としております。
ぜひ綺麗になることのお手伝いを一緒にさせてください。
些細な悩み、気になったことがあればなんでも仰ってください。
執刀医 千葉センシティ院 大久保 樹
湘南美容クリニック 千葉センシティ院
TEL0120-955-559
------★大久保先生インスタグラム・TikTokはコチラ★------
Instagramも随時更新中!
ぜひご参考にしてください☆
小顔・二の腕治療→@sbc_t.okubo
二重・クマ取り治療→@sbc_t.okubo_eye
TikTok:@sbc_t.okubo
---------------------------------------------------------------