美容外科・美容皮膚科・審美歯科なら湘南美容クリニック
電話予約・電話問い合わせ 10:00~22:45対応 番号を通知してお電話ください 0120-489-100
Instagram
LINE
YouTube
公式アプリ
美容皮膚科
あなたに最適な美容メンテナンスをサポートします!
二重整形
これを見たらあなたも思わず二重にしたくなる♡
医療ダイエット
医療ダイエットをしたらマイナス何センチ?リアルな結果を発信中!
若返り
年齢別・お悩み別で「今やるべき美容医療」がわかる美容医療メディア
クマ取り
クマ取り失敗したくない方必見!成功の秘訣満載★
脂肪吸引
美は武器!夜職女性のための美の総合メディア
予約・お問い合わせ
美容外科 MENU
Language
メインメニュー
診療内容一覧
料金一覧
クリニック案内
ドクター一覧
モニター募集
症例写真
よくある質問
当院が選ばれる理由
当院の症例写真は、画像処理により形や大きさをかえるような処理は一切おこなっておりません。
伊藤優(歯科) 医師
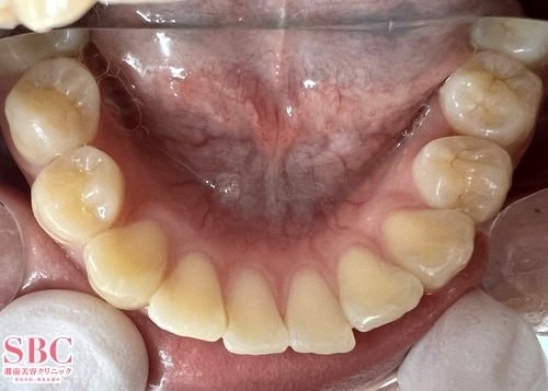
施術前
施術後14ヶ月後
施術した院
部位
施術
施術回数
数量
性別
インビザラインGOで治療されたお客様です。14か月の矯正でここまで改善出来ました。マウスピース矯正は医師の設計とお客様が装着時間をお守りいただくことで良い結果が得られます。お客様、マウスピース矯正お疲れ様でした^^
施術担当者からのコメント
インビザラインGOで治療されたお客様です。
14か月の矯正でここまで改善出来ました。
マウスピース矯正は医師の設計とお客様が装着時間をお守りいただくことで良い結果が得られます。
お客様、マウスピース矯正お疲れ様でした^^